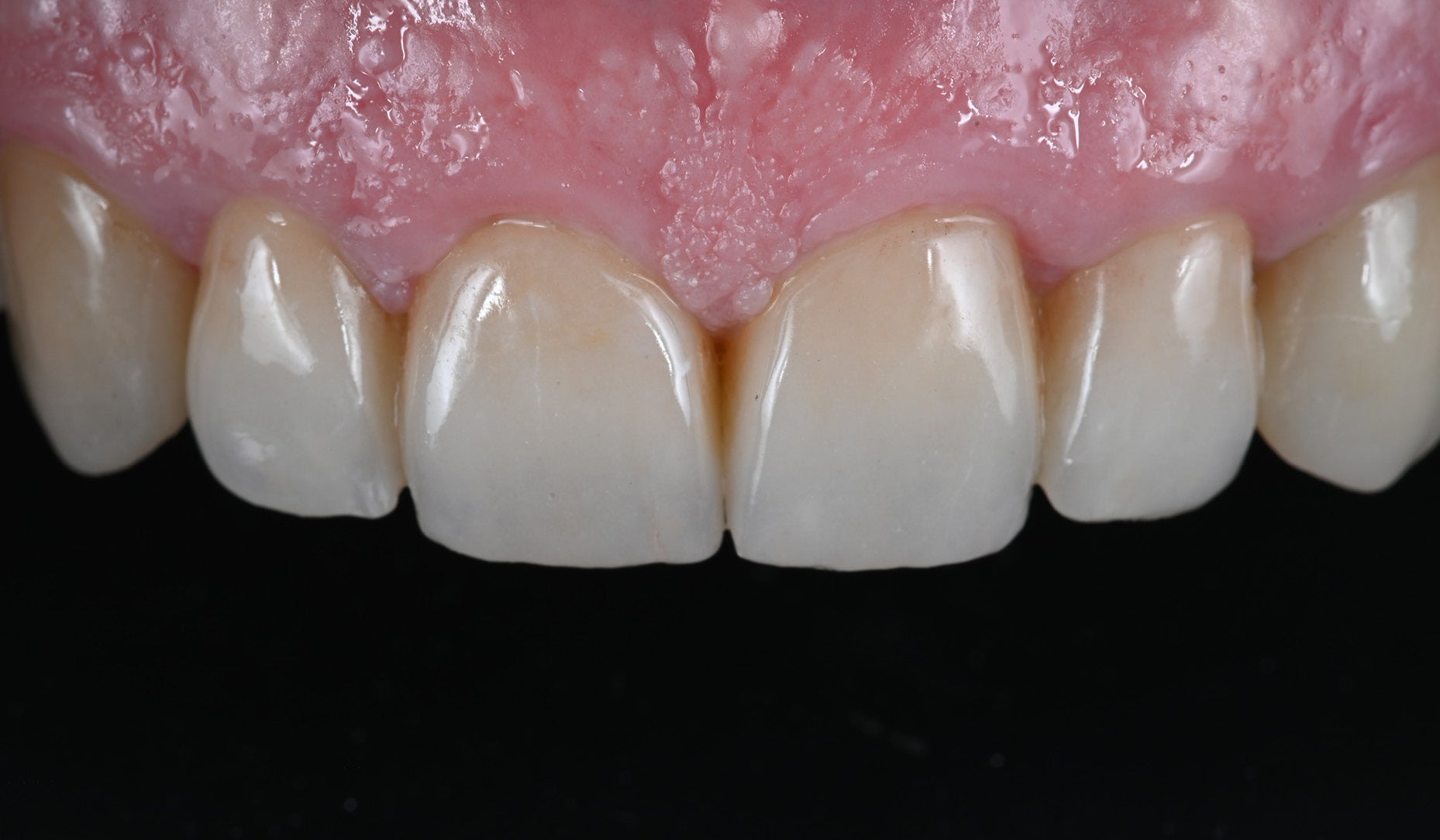
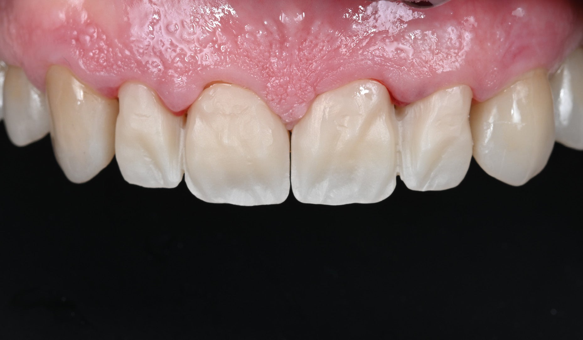
A smooth path towards beautiful smiles Case by DT Vasilis Vasiliou MICRO-LAYERING WITH CERABIEN MiLai No matter whether young or old, male or female: Our patients deserve a beautiful smile that matches their adjacent teeth, their face, their character and their individual needs. To be able to produce beautiful restorations that change their life for the better, we (as dental technicians) have to observe closely – and to listen attentively to the stories they tell. ‘We have to observe closely – and to listen attentively to the stories our patients tell us.’– Vasilis Vasiliou – Mr Andreas is a perfect example. He presented in the dental office in need of a full-mouth rehabilitation and the wish to improve the aesthetics of his smile. He asked for an age-appropriate, natural restoration design. After careful observation and listening, I decided that the best way to restore his maxillary incisors would be with zirconia restorations. The plan was to mill the frameworks using low-value KATANA™ Zirconia YML, shade D3 (Kuraray Noritake Dental Inc.). To facilitate the integration of some natural characteristic effects, a framework design with a primarily vestibular cutback was selected. The finishing technique of choice was micro-layering with CERABIEN™ MiLai (Kuraray Noritake Dental Inc.), a porcelain designed specifically for this approach. Important steps in the finishing procedure were: Characterization of the milled zirconia with colouring liquids Pre-treatment of the sandblasted zirconia surfaces with SS Fluoro and Margin porcelain Internal staining with CERABIEN™ MiLai internal stains Application of CERABIEN™ MiLai luster porcelains LABORATORY WORKFLOW Zirconia splinted crowns were designed in full contour with the aid of the Leahu Library featuring tailored tooth designs (part of the Truedental Library available for exocad DentalCAD design software; Fig. 1), cut back merely in the vestibular area using the ‘calma’ reduction option (Fig. 2), and then milled and characterized with colouring liquids to optimize the chroma. Figure 3 shows the sintered frameworks on the model, Figure 4 the try-in in the patient’s mouth. As the fit and shape of the restorations turned out to be excellent, it was time to plan the internal staining and micro-layering procedure (Figs. 5 and 6), always trying to imitate nature as closely as possible. The tricky part is to use the available space wisely – the reason why a detailed layering sketch is useful even when in the context of micro-layering. Once the planned layering procedure had been put to practice (Figs. 7 to 10), the surface texture was finalized and the restorations were tried in again for an aesthetic evaluation. Finally, they were cemented with the adhesive resin cement PANAVIA™ V5 (Kuraray Noritake Dental Inc.). The beautiful treatment outcome is shown in Figure 11. Fig. 1. Computer-aided design of the zirconia frameworks: Splinted crows displayed in a transparent mode to show the abutment teeth. Fig. 2. Computer-aided design of the zirconia frameworks: Outer contour of the splinted crowns with a strongly elaborated surface texture and sufficient room for micro-layering. Fig. 3. Restorations after characterization with colouring liquids and sintering on the model. Fig. 4. Try-in of the restorations. Fig. 5. Layering sketch for the restorations: Internal staining. Fig. 6. Layering sketch for the restorations: Luster porcelain application. Fig. 7. Internal staining – specific characteristics elaborated for a natural depth effect. Fig. 8. Layering in the cervical and body areas. Fig. 9. Final layering with luster porcelains to complete the morphology. Fig. 10. Final restorations after surface finishing and polishing as well as glazing on the model. Fig. 11. Treatment outcome. CONCLUSION The patient was thoroughly satisfied with the treatment outcome and confident that his investment was well worth it. By tailoring my approach to his unique needs, carefully observing his teeth, smile, and facial expressions, and utilizing my extensive knowledge of materials, I was able to achieve this goal successfully. Nonetheless, I remain committed to continuous improvement by critically evaluating each restoration and seeking areas for enhancement. My dedication to growth, supported by exceptional mentors who share innovative techniques and insights, supports me in staying at the forefront of my field, striving at consistently delivering the best possible care. I am deeply grateful to Dr. Zinonas Evagorou for invaluable partnership and clinical expertise, which were instrumental in achieving this result. Dental Technician: VASILIS VASILIOU Vasilis Vasiliou was born in Nicosia, Cyprus, and graduated from the Technical School for Dental Technicians in Athens in 2004. He has furthered his education by attending several advanced seminars led by mentors and experts in the field, such as Ilias Psarris and Nondas Vlachopoulos. Throughout his career, Vasilis has made significant contributions to the dental community, including presenting at various conferences in Greece and publishing articles in Greek dental magazines. Since 2020, he has been a key opinion leader for MPF Brush Company and, since 2022, a HASS Ambassador. Vasilis has been an active member of the International Team for Implantology (ITI) since 2019. Together with his father, Vasilis runs a successful dental laboratory in Nicosia, specializing in all-ceramic and implant restorations. His extensive experience and commitment to excellence have established him as a respected professional in his field. 18 feb 2026 Panavia V5 Resin Cement Dental Technician Kuraray Noritake Prosthodontics Katana Zirconia YML Restorative Dentistry CERABIEN MiLai Prosthetic dentistry Lab Dental Ceramics Cad Cam Discs Esthetic Cosmetic Chair PANAVIA V5 View Product KATANA Zirconia YML View Product CERABIEN MiLai View Product Abonneer u op onze nieuwsbrief Sluit u aan bij duizenden tandheelkundige professionals en ontvang gratis advies dat u en uw carrière kan helpen. We zullen uw e-mailadres niet spammen of delen.