429 Too Many Requests

429 Too Many Requests


nginx

PANAVIA Veneer LC (CB)

Features & Benefits

1

Innovative Curing Technology

The light-curing cement offers a long working time that facilitates simultaneous placement of multiple veneers. PANAVIA™ V5 Tooth Primer seals the adhesive interface by immediate curing upon contact with the paste (touch-cure). The result is a strong and durable bond.

2

High Aesthetics

A low film thickness and good polishability allow users to create smooth margins. Four different selected, highly colour stable shades offer long lasting aesthetics. Matching try-in pastes make it easy to select the right shade.

3

Optimised Handling

An appropriate paste viscosity and consistency allow for easier dispensing and correct seating of the restoration, while the one-second tack-cure function provides smooth excess cement removal.

Indications

PANAVIA Veneer LC can be used for
permanent cementation of ceramic
and composite:

  • Veneers
  • Inlays and onlays with less than
    2 mm in thickness

Indications

PANAVIA Veneer LC can be used for permanent
cementation of ceramic and composite:

  • Veneers
  • Inlays and onlays with less than
    2 mm in thickness

Innovative Curing Technology

A veneer cement should offer a long working time, but still obtain a high bond strength that is stable over time. Kuraray Noritake Dental Inc. has developed a way of using the touch-cure technology with a light-curing cement to provide both.
PANAVIA Veneer LC is a light-curing resin cement system that offers excellent stability under ambient light, which leads to a working time of 200 seconds*. This allows you to place multiple veneers at a time without having to race against setting. Polymerization may be started whenever you are ready for it.

*Working time under ambient light (8000 lux.): 200 seconds.

200
SEC
WORKING TIME*
ONE-COMPONENT SELF-ETCHING PRIMER

ONE-COMPONENT SELF-ETCHING PRIMER

Contributes to the polymerization of the adhesive interface.

LIGHT-CURE CEMENT PASTE

LIGHT-CURE CEMENT PASTE

Excellent ambient light stability.

LIGHT-CURE

Seal the adhesive interface with tooth structure by
touch-cure while ensuring sufficient operation time.

Image

High Aesthetics

Due to their generally minimum thickness and high translucency, the aesthetic appearance of veneers is strongly affected by the cement colour. Therefore, it is essential to use a resin cement that is colour stable and produces margins that remain undetectable over time. PANAVIA Veneer LC fulfils these tasks.

High Aesthetics

RESISTANCE TO DISCOLOURATION

High colour stability is probably the most important feature responsible for long lasting aesthetics, which is provided by a well-balanced formulation and the touch-cure technology.

Tand image (Desktop)
Tand image (Mobile)

Optimised Handling

Optimised Handling

It is possible to reduce the time and effort involved in veneer placement with a cement that supports homogeneous cement application, smooth veneer positioning and excess removal, and quick polishing? PANAVIA Veneer LC offers all the required features and gives high control thanks to the specially designed application tip.

NON-STICKINESS

The resin cement offers an excellent and ideal consistency for easy and secure application across the intaglio surface as it does not stick to the application tip due to nanocluster filler technology.

IDEAL CONSISTENCY

Newly Developed spherical silica fillers in the cement provide that it stays put where applied, but flows well when the veneer is seated on the tooth – for easy placement without drifting or sagging.

SMOOTH EXCESS REMOVAL

Excess cement may be removed in one piece with an explorer after a one-second tack-cure.

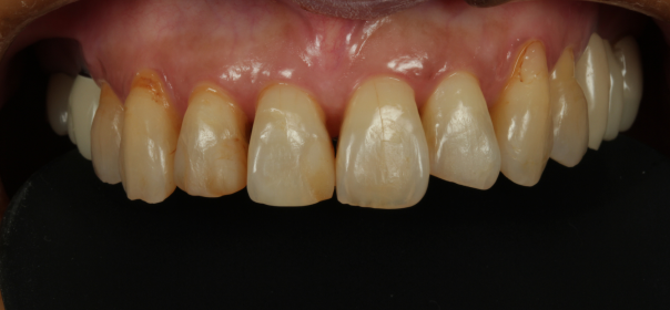
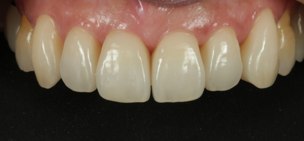
CLINICAL CASE

Courtesy of Dr. Sato

CLINICAL CASE

Courtesy of Dr. Sato

Image 1

1. Initial status before 6 veneers preparation (from #13 to #23).

Image 2

2. PANAVIA Veneer LC excellent consistency and paste viscosity allowed for easier dispensing, seating and excess cement removal.

Image 3

3. Light-cure of each area and margins.

Image 4

4. Final result after cementation of 6 KATANA™ Zirconia STML veneers.

Please refer to the instructions for use for detailed instructions.

Science

Great polishability and gloss retention

A great polishability and an excellent gloss retention support aesthetic margins over time.

PANAVIA V5 Tooth Primer is a self-etching adhesive for tooth structure (dentin and enamel) that seals the tooth-adhesive interface securely as soon as PANAVIA Veneer LC Paste is applied to it. This touch-cure technology initiates the polymerization at the adhesive interface only and establishes a strong bond to enamel and dentin, but does not affect the setting reaction of the cement. A high bond strength to restorative materials is obtained by use of the proven CLEARFIL™ CERAMIC PRIMER PLUS.

Gloss Retention
Gloss Retention
PANAVIA Veneer LC Paste

Source: Kuraray Noritake Dental Inc.

Gloss Retention
Gloss Retention
PANAVIA Veneer LC Paste
Variolink* Esthetic LC
RelyX* Veneer

Test Conditions: Specimen ø10 mm, thickness 2 mm. After smoothing the surface with water-resistant abrasive paper of #1000 to #2500, final polishing with lapping film. Initial value (measure the gloss level after polishing*). Toothbrush wear (measured after 40,000 strokes with 250g load, 30 strokes/minute, 10 wt% toothpaste*). Measured with a glossmeter VG 2000 (Nippon Denshoku Kogyo) at an angle of 60°. Note: Values may vary depending on measuring conditions.

Source: Kuraray Noritake Dental Inc.
*Not a trademark of KURARAY CO., LTD.

Shear Bond Strength To Human Teeth
Shear Bond Strength To Human Teeth
Enamel
Dentin

Test conditions: Polishing #1000, phosphoric acid enamel etching, SUS chip (dia. 3mm), measured after storage in water at 37°C for 1 day.

Source: Kuraray Noritake Dental Inc.
*Not a trademark of KURARAY CO., LTD.

Shear Bond Strength To Prosthetic Material
Shear Bond Strength To Prosthetic Material
37°C 1 day
TC3000

Test conditions: Polishing #1000, sandblasting (“KATANA™ Zirconia”) or hydrofluoric etching (glass ceramics), SUS chip (dia. 5mm), measured after storage in water at 37°C for 1 day, or thermal cycle at 4-60°C.

Source: Kuraray Noritake Dental Inc.
*Not a trademark of KURARAY CO., LTD.

Shades

PANAVIA V5 TRY-IN PASTE
Clear
Universal
White
Brown

FOUR HIGHLY
AESTHETIC SHADES

MATCHING TRY-IN PASTES

MINIMAL FILM THICKNESS

With a shade matching individual requirements, lifelike results are easily obtained.

The PANAVIA V5 Try-In Pastes match the PANAVIA Veneer LC shades and allow for a simulation of the final appearance.

Thanks to its flowability and low film thickness, PANAVIA Veneer LC produces a thin, evenly distributed cement layer contributing to easy seating without interference and to highly aesthetic margins.

FOUR HIGHLY AESTHETIC SHADES

With a shade matching individual requirements, lifelike results are easily obtained.

MATCHING TRY-IN PASTES

The PANAVIA V5 Try-In Pastes match the PANAVIA Veneer LC shades and allow for a simulation of the final appearance.

MINIMAL FILM THICKNESS

Thanks to its flowability and low film thickness, PANAVIA Veneer LC produces a thin, evenly distributed cement layer contributing to easy seating without interference and to highly aesthetic margins.

  • Internationally highly valued

     

    Testimonials

  • Afbeelding Dr. Greg Campbell, DDS
  • Dr. Greg Campbell, DDS
    USA

    “Love the versatility of the new PANAVIA Veneer LC cement when it comes to delivering my Veneers and Onlays. I can use the PANAVIA V5 Tooth Primer or my CLEARFIL Universal adhesive and get the proven benefits of the Original-MDP and the “Gold Standard” bonding we have come to expect from Kuraray. Easy to use, easy to clean up and extremely strong bonds. Four shades and try-in pastes give me complete control and ensures clinical success time and time again!
    Thank you, Kuraray Noritake for another great product.”

     

  •  

    Dr. Karyn Halpern, DDS
    USA

    “I am so impressed by the bond of this new cement. It’s not only strong but it was super easy to use, place, and clean up!
    Needless to say, I am a fan!”

     

     

  • Afbeelding Dr. Karyn Halpern DDS
  • Afbeelding Dr. Gianmarco O'Brien, DDS, Inc.
  • Dr. Gianmarco O'Brien, DDS, Inc.
    USA

    "This product is what I have come to expect from a company like Kuraray, the leader in adhesive dentistry. Easy to use clinically (excellent handling), very color stable since there is NO POST-BONDING GRAYING effect from tertiary amines (aromatic amine). I have total confidence in the DURABLE bond strength with their products. This is my new go-to veneer adhesive resin cement system!"