PANAVIA Veneer LC (CB)
Χαρακτηριστικά και πλεονεκτήματα
Καινοτόμος τεχνολογία πολυμερισμού
Η φωτοπολυμεριζόμενη κονία προσφέρει μεγάλο χρόνο εργασίας που διευκολύνει την ταυτόχρονη τοποθέτηση πολλαπλών όψεων. Το PANAVIA™ V5 Tooth Primer σφραγίζει τη διεπιφάνεια συγκόλλησης με άμεσο πολυμερισμό κατά την επαφή με την πάστα (πολυμερισμός επαφής, touch-cure). Το αποτέλεσμα είναι ένας ισχυρός και ανθεκτικός δεσμός.
Υψηλή αισθητική
Το χαμηλό πάχος μεμβράνης και η καλή δυνατότητα στίλβωσης επιτρέπουν στους χρήστες να δημιουργούν ομαλά όρια. Τέσσερις διαφορετικές επιλεγμένες, ιδιαίτερα σταθερές αποχρώσεις προσφέρουν αισθητική μακράς διάρκειας. Ταιριαστές δοκιμαστικές πάστες διευκολύνουν την επιλογή της σωστής απόχρωσης.
Βελτιστοποιημένος χειρισμός
Το κατάλληλο ιξώδες και η συνοχή της πάστας επιτρέπουν την ευκολότερη διανομή και τη σωστή τοποθέτηση της αποκατάστασης, ενώ η λειτουργία στιγμιαίου πολυμερισμού (tack-cure) ενός δευτερολέπτου παρέχει ομαλή απομάκρυνση της περίσσειας κονίας.
Καινοτόμος τεχνολογία πολυμερισμού
Μια κονία όψεων πρέπει να προσφέρει μεγάλο χρόνο εργασίας, αλλά να επιτυγχάνει υψηλή αντοχή δεσμού που να είναι σταθερή με την πάροδο του χρόνου. Η Kuraray Noritake Dental Inc. έχει αναπτύξει έναν τρόπο χρήσης της τεχνολογίας πολυμερισμού επαφής (touch-cure) με μια φωτοπολυμεριζόμενη κονία για να παρέχει και τα δύο.
Το PANAVIA Veneer LC είναι ένα σύστημα φωτοπολυμεριζόμενης ρητινώδους κονίας που προσφέρει εξαιρετική σταθερότητα υπό φωτισμό περιβάλλοντος, γεγονός που οδηγεί σε χρόνο εργασίας 200 δευτερολέπτων*. Αυτό επιτρέπει την τοποθέτηση πολλαπλών όψεων ταυτόχρονα χωρίς να χρειάζεται να κάνετε αγώνα δρόμου ενάντια στην πήξη. Ο πολυμερισμός μπορεί να ξεκινήσει όποτε είστε έτοιμοι.
*Χρόνος εργασίας υπό φωτισμό περιβάλλοντος (8000 lux.): 200 δευτερόλεπτα.

ΑΥΤΟΑΔΡΟΠΟΙΗΤΙΚΟ PRIMER ΕΝΟΣ ΣΥΣΤΑΤΙΚΟΥ
Συμβάλλει στον πολυμερισμό της διεπιφάνειας συγκόλλησης.

ΦΩΤΟΠΟΛΥΜΕΡΙΖΟΜΕΝΗ ΠΑΣΤΑ ΚΟΝΙΑΣ
Εξαιρετική σταθερότητα στο φως του περιβάλλοντος.
ΦΩΤΟΠΟΛΥΜΕΡΙΖΟΜΕΝΗ
Σφράγιση της διεπιφάνειας συγκόλλησης με την οδοντική ουσία με
τη μέθοδο πολυμερισμού επαφής (touch-cure), εξασφαλίζοντας παράλληλα επαρκή χρόνο εργασίας.

Υψηλή αισθητική
Λόγω του γενικά ελάχιστου πάχους και της υψηλής ημιδιαφάνειας, η αισθητική εμφάνιση των όψεων επηρεάζεται σε μεγάλο βαθμό από το χρώμα της κονίας. Ως εκ τούτου, είναι σημαντικό να χρησιμοποιείται μια κονία ρητίνης που είναι χρωματικά σταθερή και παράγει όρια που παραμένουν μη ανιχνεύσιμα με την πάροδο του χρόνου. Το PANAVIA Veneer LC εκπληρώνει αυτές τις απαιτήσεις.

ΑΝΤΙΣΤΑΣΗ ΣΤΗ ΔΥΣΧΡΩΜΙΑ
Η υψηλή χρωματική σταθερότητα είναι ίσως το πιο σημαντικό χαρακτηριστικό που ευθύνεται για την αισθητική μακράς διάρκειας, η οποία παρέχεται από μια καλά ισορροπημένη σύνθεση και την τεχνολογία πολυμερισμού επαφής (touch-cure).
Βελτιστοποιημένος χειρισμός

Είναι δυνατόν να μειωθεί ο χρόνος και η προσπάθεια που απαιτούνται για την τοποθέτηση όψεων με μια κονία που υποστηρίζει την ομοιογενή εφαρμογή κονίας, την ομαλή τοποθέτηση των όψεων και την απομάκρυνση της περίσσειας, καθώς και τη γρήγορη στίλβωση; Το PANAVIA Veneer LC προσφέρει όλα τα απαιτούμενα χαρακτηριστικά και παρέχει υψηλό έλεγχο χάρη στο ειδικά σχεδιασμένο ρύγχος εφαρμογής.
ΜΗ ΚΟΛΛΩΔΗΣ ΥΦΗ
Η ρητινώδης κονία προσφέρει εξαιρετική και ιδανική συνοχή για εύκολη και ασφαλή εφαρμογή σε όλη την επιφάνεια του ιντάλιο, καθώς δεν κολλάει στο ρύγχος εφαρμογής χάρη στην τεχνολογία ενισχυτικών ουσιών σε νανοσυστάδες.
ΙΔΑΝΙΚΗ ΣΥΣΤΑΣΗ
Οι πρόσφατα ανεπτυγμένες σφαιρικές ενισχυτικές ουσίες πυριτίας στην κονία εξασφαλίζουν ότι η κονία παραμένει στη θέση της, αλλά ρέει καλά όταν η όψη τοποθετείται στο δόντι – για εύκολη τοποθέτηση χωρίς να παρασύρεται ή να κρεμάει.
ΟΜΑΛΗ ΑΠΟΜΑΚΡΥΝΣΗ ΤΗΣ ΠΕΡΙΣΣΕΙΑΣ
Η περίσσεια κονίας μπορεί να αφαιρεθεί σε ένα κομμάτι με ένα ανιχνευτήρα μετά από στιγμιαίο πολυμερισμό ενός δευτερολέπτου.

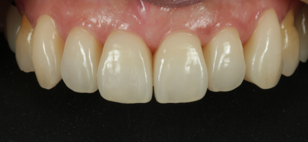
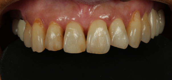
1. Αρχική κατάσταση πριν από την παρασκευή 6 όψεων (από #13 έως #23).

2. Η εξαιρετική συνοχή και το ιξώδες της πάστας PANAVIA Veneer LC επέτρεψαν την ευκολότερη διανομή, τοποθέτηση και απομάκρυνση της περίσσειας κονίας.

3. Φωτοπολυμερισμός της κάθε περιοχής και των ορίων.

4. Τελικό αποτέλεσμα μετά τη συγκόλληση των 6 όψεων KATANA™ Zirconia STML.
Ανατρέξτε στις οδηγίες χρήσης για λεπτομερείς οδηγίες.
Επιστήμη
Άριστη δυνατότητα στίλβωσης και διατήρηση της στιλπνότητας
Η άριστη δυνατότητα στίλβωσης και η εξαιρετική διατήρηση της στιλπνότητας υποστηρίζουν αισθητικά όρια σε βάθος χρόνου.
Το PANAVIA V5 Tooth Primer είναι ένα αυτοαδροποιητικό συγκολλητικό για την οδοντική ουσία (οδοντίνη και αδαμαντίνη) που σφραγίζει με ασφάλεια τη διεπιφάνεια δοντιού-συγκολλητικού μόλις εφαρμοστεί το PANAVIA Veneer LC Paste. Αυτή η τεχνολογία πολυμερισμού επαφής (touch-cure) ξεκινά τον πολυμερισμό μόνο στη διεπιφάνεια συγκόλλησης και δημιουργεί έναν ισχυρό δεσμό με την αδαμαντίνη και την οδοντίνη, αλλά δεν επηρεάζει την αντίδραση πήξης της κονίας. Υψηλή αντοχή δεσμού με τα υλικά αποκατάστασης επιτυγχάνεται με τη χρήση του αποδεδειγμένου CLEARFIL™ CERAMIC PRIMER PLUS.
Διατήρηση της στιλπνότητας

Πηγή: Kuraray Noritake Dental Inc.
Διατήρηση της στιλπνότητας

Συνθήκες δοκιμής: Δείγμα ø10 mm, πάχος 2 mm. Μετά την εξομάλυνση της επιφάνειας με αδιάβροχο λειαντικό χαρτί #1000 έως #2500, τελική στίλβωση με μεμβράνη στίλβωσης. Αρχική τιμή (μέτρηση του επιπέδου στιλπνότητας μετά τη στίλβωση). Φθορά από οδοντόβουρτσα (μετρήθηκε μετά από 40.000 κινήσεις με φορτίο 250 g, 30 κινήσεις/λεπτό, 10% κ.β. οδοντόκρεμα*). Μετρήθηκε με μετρητή στιλπνότητας VG 2000 (Nippon Denshoku Kogyo) σε γωνία 60°. Σημείωση: Οι τιμές ενδέχεται να διαφέρουν ανάλογα με τις συνθήκες μέτρησης.
Πηγή: Kuraray Noritake Dental Inc.
*Δεν αποτελεί εμπορικό σήμα της KURARAY CO., LTD.
Αντοχή του δεσμού σε διάτμηση με τα ανθρώπινα δόντια

Συνθήκες δοκιμής: Στίλβωση #1000, αδροποίηση αδαμαντίνης με φωσφορικό οξύ, SUS chip (διάμ. 3 mm), μετρήθηκε μετά από αποθήκευση σε νερό στους 37 °C για 1 ημέρα.
Πηγή: Kuraray Noritake Dental Inc.
*Δεν αποτελεί εμπορικό σήμα της KURARAY CO., LTD.
Αντοχή του δεσμού σε διάτμηση με το προσθετικό υλικό

Συνθήκες δοκιμής: Στίλβωση με #1000, αμμοβολή («KATANA™ Zirconia») ή αδροποίηση με υδροφθορικό (υαλοκεραμικά), SUS chip (διάμ. 5 mm), μετρήθηκε μετά από αποθήκευση σε νερό στους 37 °C για 1 ημέρα, ή θερμικό κύκλο στους 4-60 °C.
Πηγή: Kuraray Noritake Dental Inc.
*Δεν αποτελεί εμπορικό σήμα της KURARAY CO., LTD.
Αποχρώσεις
-
Καταξιωμένο διεθνώς
Μαρτυρίες
-
-
Dr. Greg Campbell, DDS
ΗΠΑ«Λατρεύω την ευελιξία του νέου PANAVIA Veneer LC όταν πρόκειται για την τοποθέτηση των όψεων και των επενθέτων μου. Μπορώ να χρησιμοποιήσω το PANAVIA V5 Tooth Primer ή το συγκολλητικό γενικής χρήσης CLEARFIL και να έχω τα αποδεδειγμένα οφέλη του αυθεντικού MDP και τη συγκόλληση «Χρυσού προτύπου» που περιμένουμε από την Kuraray. Εύκολο στη χρήση, εύκολο στην αφαίρεση της περίσσειας και εξαιρετικά ισχυροί δεσμοί. Τέσσερις αποχρώσεις και δοκιμαστικές πάστες παρέχουν πλήρη έλεγχο και εξασφαλίζουν κλινική επιτυχία ξανά και ξανά!
Σ' ευχαριστώ, Kuraray Noritake για άλλο ένα εξαιρετικό προϊόν.» -
Dr. Karyn Halpern, DDS
ΗΠΑ«Είμαι τόσο εντυπωσιασμένη από τον δεσμό αυτής της νέας κονίας. Δεν είναι μόνο ισχυρή, αλλά ήταν εξαιρετικά εύκολη στη χρήση, την τοποθέτηση και την αφαίρεση της περίσσειας!
Περιττό να πω ότι είμαι οπαδός!» -
-
-
Dr. Gianmarco O'Brien, DDS, Inc.
ΗΠΑ«Αυτό το προϊόν είναι αυτό που θα περίμενα από μια εταιρεία όπως η Kuraray, τον ηγέτη στα οδοντιατρικά προϊόντα συγκόλλησης. Εύκολο στην κλινική χρήση (άριστος χειρισμός), πολύ σταθερό χρώμα, δεδομένου ότι ΔΕΝ υπάρχει φαινόμενο ΓΚΡΙΖΑΡΙΣΜΑΤΟΣ ΜΕΤΑ ΤΗ ΣΥΓΚΟΛΛΗΣΗ από τις τριτοταγείς αμίνες (αρωματική αμίνη). Έχω απόλυτη εμπιστοσύνη στην ΑΝΤΟΧΗ του δεσμού με τα προϊόντα τους. Αυτό είναι το νέο μου σύστημα ρητινώδους κονίας συγκόλλησης για όψεις!»
Προϊόντα
Για να παραγγείλετε, επιλέξτε από τις ακόλουθες επιλογές.

1.8ml
Universal (A2)
Clear
Brown (A4)
White
Opaque


4ml

20 Applicator tips (16g)


4ml

ΧΡΗΣΙΜΟΙ ΠΟΡΟΙ
Συχνές ερωτήσεις
Συγκεντρώσαμε μία λίστα με απαντήσεις στις πιο σημαντικές ερωτήσεις.
“PANAVIA™ Veneer LC” is a light-cure adhesive resin cement system. It consists of the “PANAVIA™ Veneer LC” Paste (a light-cure cement paste), “CLEARFIL™ CERAMIC PRIMER PLUS” (a silane, zirconia & metal primer), K-ETCHANT Syringe (Phosphoric Acid), and “PANAVIA™ V5” Try-in Paste. “CLEARFIL™ Universal Bond Quick” or “PANAVIA™ V5” Tooth Primer can be chosen for tooth treatment.
Cementation of ceramic and composite inlays, onlays and laminate veneers with less than 2 mm thickness of the following materials: silica-based ceramics (e.g. conventional porcelain, lithium disilicate), hybrid ceramics, composite resin and “KATANA™ Zirconia” STML/UTML/YML (with a thickness of less than 1.2 mm).
Follow the Instructions for Use of the restorative material. In the absence of specific instructions, we recommend the following procedures and application of the provided “CLEARFIL™ CERAMIC PRIMER PLUS”: if the adherent surface is silica-based ceramic (e.g. conventional porcelain, lithium disilicate), hybrid ceramic or composite resin: Based on the type of restoration, hydrofluoric acid etching or air abrasion treatment may be used:
Acid Etching Treatment (e.g. conventional porcelain, lithium disilicate):
Etch the adherent surface with a hydrofluoric acid solution in accordance with the Instructions for Use of the solution. Rinse the adherent surface with water and dry.
Air Abrasion Treatment (e.g. composite resin):
Roughen the adherent surface by blasting with alumina powder (30-50 μm) using air pressure of 0.1-0.2 MPa (1-2 kgf/cm2, 15-29 psi, 1-2 Bar). The air pressure and powder size should be properly adjusted to suit the material and/or shape of the prosthetic restoration, using caution to prevent chipping. Clean the prosthetic restoration in an ultrasonic cleaning unit for 2 minutes or with “KATANA™ Cleaner” with 10 seconds of rubbing and then rinse with water.
Although technically possible, we recommend to use “CLEARFIL™ CERAMIC PRIMER PLUS” to get optimal performance for glass ceramics.
Yes, doing that would contaminate the restoration and, hence, decrease the bond strength. To remove the contamination, use “KATANA™ Cleaner” for 10 seconds with a rubbing motion then rinse with water until the color has been disappeared and dry the restorations to remove contaminants, or apply K-ETCHANT Syringe (Phosphoric Acid) for 5 seconds in case of non-zirconia restorations.
There are 2 ways to treat the prepared tooth: with the “PANAVIA™ V5” Tooth Primer or “CLEARFIL™ Universal Bond Quick”.
a) “PANAVIA™ V5” Tooth Primer: Etch the enamel with the K-ETCHANT (phosphoric acid) for 10 seconds, rinse and dry. Apply the Tooth Primer to the entire prepared tooth surface, with an applicator brush and leave it in place for 20 seconds. Thoroughly dry the entire adherent surface sufficiently by blowing mild, oil-free air until all water is evaporated from the primer.
b) “CLEARFIL™ Universal Bond Quick”: Selective etch the enamel with K-ETCHANT syringe (phosphoric acid) for 10 seconds, rinse and dry. Apply BOND with a rubbing motion to the entire preparation with the applicator brush. No waiting time is required. Dry the entire cavity wall sufficiently by blowing mild air for more than 5 seconds until BOND does not move.
When cementing laminate veneers, there is no need to light-cure BOND prior to seating the laminate veneers. It should be cured after seating the laminate veneers with the “PANAVIA™ Veneer LC” cement. When cementing inlays or onlays, BOND should be light-cured before seating the restoration. Please confirm the curing time by referencing the Instructions for Use.
In terms of bond strength, both are similar and provide excellent results. Nevertheless, the “PANAVIA™ V5” Tooth Primer will provide a “touch-cure” mechanism that will seal the bonding interface before the final light curing. Additionally, while the application time is shorter with “CLEARFIL™ Universal Bond Quick” (no waiting time versus 20 s), there is a longer working time under ambient light with the “PANAVIA™ V5” Tooth Primer (200 seconds vs 160 seconds with the BOND).
PANAVIA™ Veneer LC” offers the ideal paste consistency, not being too high or too low as several competitive products. This will facilitate the dispensing of the paste onto the restoration and smooth seating of such restoration. A low film thickness and long working time are also advantages over competitive products. In addition, in case of using it with the “PANAVIA™ V5” Tooth Primer, the “touch-cure” mechanism will provide bonding interface sealing.
One of the following two techniques can be used:
Tack-Cure Clean-Up Technique: Light-cure any excess cement in several spots for 1 second at a distance of 10-15 mm. Hold the prosthetic restoration in position, remove the tack-cured excess cement using a dental instrument.
Wet Clean-Up Technique: Any excess cement remaining at the margins can be removed with a small brush, foam pellet, dental floss or dental explorer.
Regardless of the technique used, final curing will be required as the next step. Please refer to the Instructions for Use.
The use of a protective gel, like “PANAVIA™ F 2.0” OXYGUARD II, is beneficial to prevent the forming of an oxygen inhibited layer thus helping to create smooth margins.
There are 4 shades of “PANAVIA™ Veneer LC” Paste available: Clear, Universal (A2); White and Brown (A4). Each shade has a corresponding glycerin based, water soluble Try-In Paste.
The “PANAVIA™ V5” Try-In Paste shades match the “PANAVIA™ Veneer LC” shades (in light-cured state) and allow for a simulation of the final appearance of the restoration. The “PANAVIA™ V5” Try-In Paste cannot be (light) cured, and can be removed easily with water.
Yes, “PANAVIA™ Veneer LC” Paste is color stable.
Since “PANAVIA™ Veneer LC” Paste is only light curing, no amine reducing agent based redox curing system is included avoiding unwanted discoloration over time.
The total amount of inorganic filler is approximately, 66 wt%, 47 vol%. The particle size of inorganic fillers range from 0.05 μm to 8 μm.
“PANAVIA™ Veneer LC” Paste has spherical silica and nano cluster fillers. This provides a paste which is not runny, has excellent handling, and resistance to sagging.
“PANAVIA™ Veneer LC” Paste film thickness is around 8 μm.
Zirconia should not be used because it may not have sufficient translucency. However, zirconia of our products with high translucency (“KATANA™ Zirconia” STML/UTML, “KATANA™ Zirconia” Block STML) can be used with a thickness of less than 1.2 mm.
“PANAVIA™ Veneer LC” has excellent bond strength to several substrates (e.g. enamel, dentin, lithium disilicate, “KATANA™ Zirconia”, feldspar ceramic) at a similar level to the acclaimed “PANAVIA™ V5”.
Approximately 20-30 teeth for laminate veneer.
No, the “PANAVIA™ Veneer LC” Paste tips are specially designed for an easy extrusion and application and their gauge, which is 16 (1.65 mm in diameter) and differ from the “CLEARFIL MAJESTY™ ES Flow” ones.
The product should be stored in the refrigerator. All components stored in the refrigerator should be brought to room temperature for 15 minutes before use in order to restore its normal viscosity and curing properties.
The shelf-life of “PANAVIA™ Veneer LC” components is 36 months from date of manufacture with refrigeration.