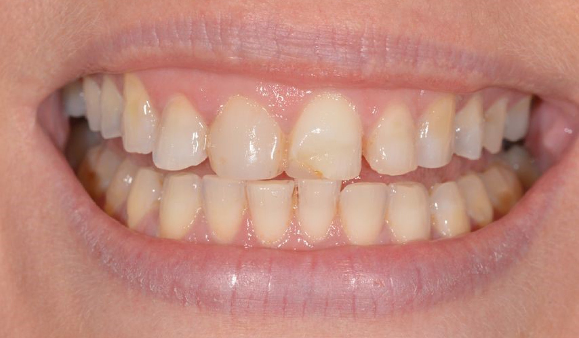
News Feature Preserving tooth structure: from individual prophylaxis to flowable injection Interview with Dr. Ludivine Facon Individual prophylaxis, early defect detection and treatment, minimally invasive restorative techniques: In her joint dental practice in Anstaing, France, Dr. Ludivine Facon does everything in her power to keep her patients’ teeth healthy for their lifetime. When we met her at the International Dental Show in Cologne, where she was a speaker for Kuraray Noritake Dental Inc., we asked her to share information about her treatment philosophy and how flowable injection fits into her overall approach. Your treatment philosophy seems to be minimally invasive. Would you please tell us a bit more about it? Ever since I started treating patients, my priority has always been to preserve the dental tissues and to be as minimally invasive as possible when restoration is required. My interest in prevention started with my thesis in 2000, which focused on oral health prevention in Quebec, Canada, a country where prophylactic care is an integral part of dental treatment. I have always been highly interested in individual prophylaxis, which naturally led me to focus on minimally invasive treatments. My goal is to stay as low as possible on the therapeutic gradient, always thinking about the long-term benefits for the patient. What are the benefits of this approach for your practice? Integrating prophylaxis for every patient into my practice allows me to work with excellent surface conditions for bonding. The oral environment is sanitized before applying conservative restorations, and carious lesion removal is kept to a minimum. When defects – be it a carious lesion or severe tooth wear – are present, I use the following instruments and materials that allow for truly minimally invasive interventions: Rondoflex 50-micron sandblaster to roughen the surface, Micro diamond burs to remove what is necessary, Layered composites for single-tooth restorations, Injected composites when multiple teeth are involved. Case predestined for composite injection, as multiple teeth in the maxilla need to be treated (smile makeover). What dental materials do you use for your restorative procedures? I am a hands-on dentist, and in my daily practice, I strictly follow surface preparation and bonding protocols recommended for CLEARFIL™ Universal Bond Quick 2 (Kuraray Noritake Dental Inc.). In addition, I use high-quality composites from Kuraray Noritake Dental Inc. For layering, CLEARFIL MAJESTY™ ES-2 Premium Enamel and Dentin are my got-to solution, while I use CLEARFIL MAJESTY™ ES Flow Low for injection. What are the benefits of a conservative approach for your patients? Patients appreciate the fact that my treatment approach is as conservative as possible while still allowing for easy reintervention if necessary, preserving as much healthy dental tissue as possible. Another significant advantage is the moderate cost, which makes the treatment more accessible. How does composite injection fit into this philosophy? This technique allows for an easy reconstruction of multiple teeth by transferring a wax-up designed in the lab into the mouth via an injection of modern flowable composite into a transparent silicone index. Patients like this technique because it is aesthetic, reliable, reproducible and minimally invasive. A major advantage is that it allows for touch-ups and repairs, making it a reassuring solution. In some cases, no tooth preparation is needed at all—we simply add material, making the whole treatment truly non-invasive. Why do you think this technique is promising? It is a trendy and promising technique because: It is non-invasive --> preserves tissues --> aligns with minimally invasive dentistry. It is predictable --> due to the index, the technique is reproducible. It is easier than traditional layering --> saves chair time and improves patient comfort. It is cost-effective --> a cheaper alternative to ceramic veneers. It allows for repairs at any time, making it a reassuring option. How did you proceed before knowing this technique? In the anterior region, I used traditional composite layering with a wax-up and a palatal silicone index. It allowed me to rebuild the palatal wall and provide for precise incisal edge placement. In the posterior region, I used inlays, onlays, or overlays made of lab-processed reinforced composite or lithium disilicate. Transparent silicone index with injection hole used to inject the flowable composite and restore the tooth to its planned shape. What made you start using the new technique? There has been an explosion in demand for smile enhancements, especially among young adults. The composite injection technique is an appealing alternative for reshaping smiles in young patients with intact teeth but unsatisfactory size or shape. It is less invasive than veneers, which have gained popularity due to social media trends, but often require significant tooth preparation. How did you proceed in the beginning? I first discovered the technique in a specialized journal in 2019, then trained myself using online tutorials. Of course, there were some trial-and-error moments, but it is a very accessible technique—even for beginners. To achieve optimal results, I believe that proper case selection and treatment planning are key. One of the most important preconditions for aesthetic outcomes is that the patient’s teeth have a simple shade structure. If the shade structure of the teeth is complex or the required restoration is large, it is better to layer the dentin before injecting the enamel. Moreover, it is essential to produce two models in the wax-up phase, not just one: An “intermediate wax-up model” with every other tooth featuring the wax-up, while the remaining teeth remain unmodified. The second is a “full wax-up model” with all teeth reshaped. Considering these aspects, it is possible to obtain great outcomes quite quickly. The learning curve is steep, however – as with every new technique to be implemented – you need to step out of your comfort zone. Apart from CLEARFIL™ Universal Bond Quick 2 and CLEARFIL MAJESTY™ ES Flow Low you already mentioned, what instruments and materials do you use? For treatment planning including the wax-up, I use digital technology via Smilecloud, but a traditional wax-up works just as well. The production of the silicone index is the most delicate part when doing it in-house. I recommend using EXACLEAR (GC), the only truly effective transparent silicone currently available. Adjacent teeth are isolated with PTFE tape. Finishing instruments that have proven their worth are: Scalpel Blade No. 12, 3M™ Sof-Lex™ Contouring and Polishing Discs (Solventum), Red-ring fine diamond burs, TWIST™ DIA for Composite polishers (Kuraray Noritake Dental Inc.). Intermediate wax-up model: One tooth with wax-up followed by one tooth without. Full wax-up model. Do you believe that the quality of the outcome is affected by the composite material you use? Absolutely! New high-filled flowable composites, like CLEARFIL MAJESTY™ ES Flow Low, offer excellent mechanical properties and polishability, making them very promising. Highly aesthetic treatment outcome after injection of CLEARFIL MAJESTY™ ES Flow Low. What material characteristics impact overall quality? First of all, the optical properties or shade matching ability of the material are crucial. I like the fact that I can select from a variety of shades when using CLEARFIL MAJESTY™ ES Flow. Once the right shade is selected and the thickness of the injected layer does not exceed 1 mm, the optical properties of the restorations may be expected to be exceptional. Moreover, we need a material with great flow properties (fluid, but not too runny), which is virtually void-free. I prefer using low viscosity flowable composites like CLEARFIL MAJESTY™ ES Flow Low (two other flowabilities – HIGH and SUPER LOW – are also available). The physical properties (mechanical strength) and polishability plus polish retention are also important. They are usually excellent with premium flowable composites. What are your most important clinical tips and tricks? For beginners: Press firmly on the cervical area of the silicone index to reduce excess material upon removal. Finish the proximal area thoroughly before moving to the next injection step. This way, you provide for perfect key positioning for the following teeth. If you follow the protocol, the technique is very beginner friendly! What is your opinion about the emerging hybrid "layering & injection" technique? This hybrid technique complicates the original injection technique, which is meant to simplify composite restorations. However, it is very useful in cases where aesthetic complexity requires layering. For maximum mimicry with this technique, I would love to have injectable composites in an enamel shade at my disposal. Would you please share your final thoughts with us? Take your time planning! Observe, document, take photos, use digital tools! Less is more. Dr. Facon, thank you very much! Dentist: LUDIVINE FACON Dr. Ludivine Facon graduated from the University of Lille, where she developed a solid foundation in dentistry. Passionate about periodontology and dental aesthetics, Dr. Facon pursued specialized training to refine her skills in these fields. In 2007, she completed clinical periodontology training at the Charon Clinic, followed by individual dental prophylaxis training with Michel Blique in 2008. From 2013 to 2014, she attended the long cycle program at the Académie du Sourire in Aix-en-Provence, enhancing her expertise in dental aesthetics. Dr. Facon continued to build on her knowledge with international training, including at the International Institute of Periodontology in Montreal in 2015, and a veneer training course at the GAD Center in Bordeaux the same year. In 2016, she further advanced in mucogingival surgery at the Académie de Parodontologie in Aix-en-Provence. Always keeping up with the latest developments, she participated in the CIDAE training in Brussels in 2022. More recently, in 2024, Dr. Facon completed a course in composite layering and injection, led by Guillaume Piskorski, the French specialist in injected composite technique, in Lille. With extensive expertise, Dr. Facon is also an educator in direct aesthetic composites, having taught at the University of Lille in 2020, 2022, 2023, and 2024. 28 okt 2025 Kuraray Noritake Interview Clearfil Majesty Es-2 Premium Restorative Dentistry Clearfil Majesty Es-2 Flow Esthetic Cosmetic Chair Composite Resin Dental Adhesive Clearfil Universal Bond Quick 2 CLEARFIL MAJESTY ES-2 Premium View Product CLEARFIL MAJESTY ES Flow View Product TWIST DIA for Composite View Product CLEARFIL Universal Bond Quick 2 View Product Abonneer u op onze nieuwsbrief Sluit u aan bij duizenden tandheelkundige professionals en ontvang gratis advies dat u en uw carrière kan helpen. We zullen uw e-mailadres niet spammen of delen.