429 Too Many Requests

429 Too Many Requests


nginx

Identificazione

Il contenuto del sito www.kuraraynoritake.eu/it è riservato agli operatori sanitari e riporta informazioni sui prodotti che possono creare situazioni di pericolo per la salute e la sicurezza del paziente se non correttamente lette, comprese ed applicate da un professionista.

In ottemperanza con quanto previsto dalla normativa vigente, dichiaro quindi, sotto la mia responsabilità, di essere un professionista del settore odontoiatrico e/o odontotecnico e di essere pertanto autorizzato a prendere visione del contenuto presente in questo sito internet

PANAVIA Veneer LC (CB)

CARATTERISTICHE & BENEFICI

1

INNOVATIVA TECNOLOGIA DI POLIMERIZZAZIONE

Questo cemento fotopolimerizzabile consente un lungo tempo di lavorazione, semplificando il posizionamento contemporaneo di più faccette. PANAVIA™ V5 Tooth Primer sigilla l’interfaccia di adesione attivando una polimerizzazione immediata non appena entra in contatto con la pasta (Touch-cure Technology). Il risultato è un’adesione affidabile che dura nel tempo.

2

ELEVATO LIVELLO DI ESTETICA

Spessore ridotto del film e ottima lucidabilità consentono di creare margini regolari e uniformi. Quattro diversi colori attentamente selezionati, di eccezionale stabilità e resistenza, consentono di ottenere risultati estetici che durano nel tempo. La disponibilità di paste prova (try-in paste) facilita la scelta della giusta tonalità cromatica.

3

OTTIMO HANDLING

Viscosità e consistenza adeguate facilitano l’erogazione e il corretto posizionamento del restauro, mentre la funzione di polimerizzazione per contatto di un solo secondo consente l’agevole rimozione del cemento in eccesso.

INDICAZIONI

PANAVIA Veneer LC può essere utilizzato
per la cementazione definitiva di:

  • Faccette
  • Inlay e onlay fino a 2 mm
    di spessore

INDICAZIONI

PANAVIA Veneer LC può essere utilizzato
per la cementazione definitiva di:

  • Faccette
  • Inlay e onlay fino a 2 mm
    di spessore

INNOVATIVA TECNOLOGIA
DI POLIMERIZZAZIONE

Un cemento per faccette deve consentire un lungo tempo di lavorazione, garantendo, al tempo stesso, un’elevata resistenza e stabilità dell’adesione nel tempo. Per soddisfare entrambe queste esigenze, Kuraray Noritake Dental Inc. ha sviluppato un sistema per utilizzare la tecnica di polimerizzazione per contatto (Touch-cure Technology) con un cemento fotopolimerizzabile.
PANAVIA Veneer LC è un cemento resina fotopolimerizzabile dotato di un’ottima stabilità in condizioni di luce ambientale che consente un tempo di lavorazione di 200 secondi*. In questo modo, è possibile applicare più faccette alla volta senza dover lottare contro il tempo di indurimento e si potrà avviare la polimerizzazione quando si è pronti.

*Tempo di lavorazione in luce ambientale (8000 lux.): 200 secondi.

200
SEC
TEMPO DI LAVORAZIONE*
PRIMER SELF-ETCH

PRIMER SELF-ETCH

Contribuisce alla polimerizzazione dell’interfaccia di adesione.

CEMENTO FOTOPOLIMERIZZABILE

CEMENTO FOTOPOLIMERIZZABILE

Eccellente stabilità in luce ambientale.

FOTOPOLIMERIZZAZIONE

Sigilla l’interfaccia di adesione con la struttura dentale mediante
polimerizzazione per contatto, assicurando un tempo di lavorazione
sufficiente.

Image

ESTETICA ELEVATA

Dato che le faccette sono generalmente caratterizzate da uno spessore minimo e da un elevato livello di traslucenza, il loro aspetto estetico risente fortemente del colore del cemento. Ecco perché è indispensabile utilizzare un cemento resinoso cromaticamente stabile, che consenta di creare margini impercettibili anche con il passare del tempo. Queste sono esattamente le proprietà offerte da PANAVIA Veneer LC.

High Aesthetics

RESISTENZA ALLA DECOLORAZIONE

L’elevata stabilità del colore è probabilmente la caratteristica più importante ai fini di una resa estetica di lunga durata. La giusta stabilità è permessa da una formulazione ben equilibrata e dalla tecnologia di polimerizzazione per contatto.

Tand image (Desktop)
Tand image (Mobile)

OTTIMO HANDLING

Optimised Handling

Il tempo e l’impegno necessari per posizionare la faccetta possono essere ridotti utilizzando un cemento che consente un’applicazione uniforme, un agevole posizionamento della faccetta, una facile rimozione del cemento in eccesso, e una rapida lucidatura. PANAVIA Veneer LC offre tutte queste caratteristiche e permette un maggiore controllo, grazie alla speciale configurazione della punta dell’applicatore.

NON APPICCICOSO

Il cemento resina offre un’eccellente consistenza, ideale per un’applicazione facile e sicura su tutta la superficie interna della protesi e, grazie alla tecnologia dei nanofiller, non si attacca alla punta dell’erogatore.

CONSISTENZA IDEALE

Grazie ai nuovi filler di silicio sferici contenuti al suo interno, il cemento rimane nel punto in cui è stato applicato, ma conserva la fluidità necessaria per un corretto e agevole posizionamento della faccetta sul dente, senza spostarsi o scivolare verso il basso.

FACILE RIMOZIONE DEL CEMENTO IN ECCESSO

Il cemento in eccesso può essere facilmente rimosso tutto in una volta con uno specillo, dopo un secondo di polimerizzazione per contatto.

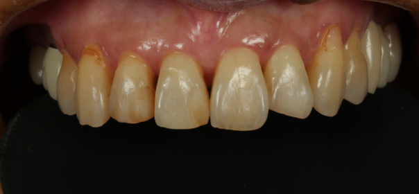
CASO CLINICO

Per gentile concessione del Dr. Sato

CASO CLINICO

Per gentile concessione del Dr. Sato

Image 1

1. Condizioni iniziali prima della preparazione di sei faccette (dall’elemento 13 all’elemento 23).

Image 2

2. L’eccellente consistenza e viscosità di PANAVIA Veneer LC facilitano l’erogazione, il posizionamento e la rimozione del cemento in eccesso.

Image 3

3. Fotopolimerizzazione delle aree e dei margini.

Image 4

4. Risultato finale dopo cementazione di sei faccette in KATANA™ Zirconia STML.

Per istruzioni più dettagliate, consultare le Istruzioni per l’Uso.

SCIENZA

OTTIMA LUCIDABILITÀ E LUCENTEZZA DURATURA

L’eccellente lucidabilità e la lunga durata della lucentezza preservano l’estetica dei margini nel corso del tempo.

PANAVIA V5 Tooth Primer è un primer self-etch per la struttura del dente (dentina e smalto) che sigilla perfettamente l’interfaccia tra adesivo e dente non appena viene applicato PANAVIA Veneer LC Paste. Questo sistema di polimerizzazione per contatto attiva la polimerizzazione esclusivamente a livello dell’interfaccia di adesione, creando un forte legame con lo smalto e con la dentina senza interferire con la reazione di indurimento del cemento. L’utilizzo di CLEARFIL™ CERAMIC PRIMER PLUS offre un’elevata forza di adesione al materiale da restauro.

DURATA DELLA LUCENTEZZA
DURATA DELLA LUCENTEZZA
PANAVIA Veneer LC Paste

Fonte: Kuraray Noritake Dental Inc.

DURATA DELLA LUCENTEZZA
DURATA DELLA LUCENTEZZA
PANAVIA Veneer LC Paste
Variolink* Esthetic LC
RelyX* Veneer

Condizioni di Prova: Campione ø 10mm, spessore 2mm. Dopo aver levigato la superficie con carta abrasiva resistente all’acqua of #1000 to #2500, lucidatura finale con pellicola per lappatura. Valore iniziale (misurare il livello lucentezza dopo la lucideatura*). Usura da spazzolamento (misurato dopo 40.000 passaggi con carico da 250g, 30 passaggi/ minuto, peso dentifricio 10%*). Misurato con glossimetro VG 2000 (Nippon Denshoku Kogyo) a un angolo di 60°. Nota: I valori possono variare in base alle condizioni di misurazione.

Fonte: Kuraray Noritake Dental Inc.
*Non è un marchio KURARAY CO., LTD.

RESISTENZA AL TAGLIO DELL’ADESIONE SU DENTE UMANO
RESISTENZA AL TAGLIO DELL’ADESIONE SU DENTE UMANO
Smalto
Dentina

Condizioni di prova: Lucidatura #1000, mordenzatura smalto con acido fosforico, chip SUS (dia. 3mm), misurazione a 37°C per 1 giorno.

Fonte: Kuraray Noritake Dental Inc.
*Non è un marchio KURARAY CO., LTD.

RESISTENZA AL TAGLIO DELL’ADESIONE SU MATERIALE PROTESICO
RESISTENZA AL TAGLIO DELL’ADESIONE SU MATERIALE PROTESICO
37°C 1 giorno
TC3000

Condizioni di prova: Lucidatura#1000, sabbiatura (“KATANA™ Zirconia”) mordenzatura con acido fluoridrico (vetroceramica), chip SUS (dia. 5mm), misurazione dopo conservazione in acqua 37°C per 1 giorno, o ciclo termico a 4-60°C.

Fonte: Kuraray Noritake Dental Inc.
*Non è un marchio KURARAY CO., LTD.

GAMMA COLORI

PANAVIA V5 TRY-IN PASTE
Clear
Universal
White
Brown

4 COLORI ALTAMENTE
ESTETICI

PASTE PROVA
(TRY-IN PASTE)

SPESSORE MINIMO
DEL FILM

 

La possibilità di scegliere il giusto colore tra i 4 disponibili della gamma, facilita l’ottenimento di risultati dall’aspetto naturale.

 

Le paste PANAVIA V5 try-in hanno un perfetto abbinamento con i colori di PANAVIA Veneer LC, consentendo di simulare l’aspetto del risultato finale.

 

Grazie alla sua fluidità e al ridotto spessore del film, PANAVIA Veneer LC produce uno strato di cemento sottile e uniformemente distribuito, per un posizionamento agevole e senza interferenze, con margini dall’estetica ottimale.

4 COLORI ALTAMENTE ESTETICI

La possibilità di scegliere il giusto colore tra i 4 disponibili della gamma, facilita l’ottenimento di risultati dall’aspetto naturale.

PASTE PROVA (TRY-IN PASTE)

 

Le paste PANAVIA V5 try-in hanno un perfetto abbinamento con i colori di PANAVIA Veneer LC, consentendo di simulare l’aspetto del risultato finale.

SPESSORE MINIMO DEL FILM

Grazie alla sua fluidità e al ridotto spessore del film, PANAVIA Veneer LC produce uno strato di cemento sottile e uniformemente distribuito, per un posizionamento agevole e senza interferenze, con margini dall’estetica ottimale.

  • Internationally highly valued

     

    Testimonials

  • Afbeelding Dr. Greg Campbell, DDS
  • Dr. Greg Campbell, DDS
    USA

    “Love the versatility of the new PANAVIA Veneer LC cement when it comes to delivering my Veneers and Onlays. I can use the PANAVIA V5 Tooth Primer or my CLEARFIL Universal adhesive and get the proven benefits of the Original-MDP and the “Gold Standard” bonding we have come to expect from Kuraray. Easy to use, easy to clean up and extremely strong bonds. Four shades and try-in pastes give me complete control and ensures clinical success time and time again!
    Thank you, Kuraray Noritake for another great product.”

     

  •  

    Dr. Karyn Halpern, DDS
    USA

    “I am so impressed by the bond of this new cement. It’s not only strong but it was super easy to use, place, and clean up!
    Needless to say, I am a fan!”

     

     

  • Afbeelding Dr. Karyn Halpern DDS
  • Afbeelding Dr. Gianmarco O'Brien, DDS, Inc.
  • Dr. Gianmarco O'Brien, DDS, Inc.
    USA

    "This product is what I have come to expect from a company like Kuraray, the leader in adhesive dentistry. Easy to use clinically (excellent handling), very color stable since there is NO POST-BONDING GRAYING effect from tertiary amines (aromatic amine). I have total confidence in the DURABLE bond strength with their products. This is my new go-to veneer adhesive resin cement system!"

     

Prodotti

Per ordinare, scegliere tra le seguenti opzioni.

PANAVIA V5  Try-in Paste
PANAVIA V5 Try-in Paste

1.8ml

Universal (A2)
Clear
Brown (A4)
White
Opaque

-
+
PANAVIA™ Veneer LC KITS
PANAVIA™ Veneer LC KITS
-
+
CLEARFIL™ CERAMIC PRIMER PLUS
CLEARFIL™ CERAMIC PRIMER PLUS

4ml

-
+
PANAVIA™ Veneer LC Applicator tip
PANAVIA™ Veneer LC Applicator tip

20 Applicator tips (16g)

-
+
PANAVIA™ Veneer LC PASTE
PANAVIA™ Veneer LC PASTE
-
+
PANAVIA V5  Tooth Primer
PANAVIA V5 Tooth Primer

4ml

-
+

Domande frequenti

Ecco un elenco di risposte alle domande più frequenti.

Che cos'è PANAVIA™ Veneer LC?

PANAVIA™ Veneer LC è una resina adesiva fotopolimerizzabile. Il sistema è composto da PANAVIA™ Veneer LC Paste (cemento fotopolimerizzabile), da CLEARFIL™ CERAMIC PRIMER PLUS (un primer per silano, zirconia e metallo), dalla siringa K-ETCHANT (acido fosforico) e dalle paste prova PANAVIA™ V5. CLEARFIL™ Universal Bond Quick o PANAVIA™ V5 Tooth Primer possono essere usati per il trattamento dei denti.

Quali sono le indicazioni?

Cementazione di inlay, onlay e faccette con spessore inferiore a 2 mm in ceramica e composito: ceramiche a base di silice (ad es. ceramica convenzionale, disilicato di litio), ceramiche ibride, resina composita e KATANA™ Zirconia STML/UTML/YML (con uno spessore inferiore a 1,2 mm).

Come posso trattare il restauro protesico?

Seguire le istruzioni per l'uso del materiale da restauro. In assenza di istruzioni specifiche, si consigliano le seguenti procedure e l'applicazione di CLEARFIL™ CERAMIC PRIMER PLUS in dotazione: se la superficie adesiva è costituita da ceramica a base di silice (ad es. ceramica convenzionale, disilicato di litio), ceramica ibrida o resina composita: a seconda del tipo di restauro, è possibile utilizzare un trattamento con mordenzatura con acido fluoridrico o con abrasione ad aria: Trattamento di mordenzatura con acido (es. ceramica convenzionale, disilicato di litio): Mordenzare la superficie adesiva con una soluzione di acido fluoridrico secondo le istruzioni per l'uso della soluzione. Sciacquare la superficie adesiva con acqua e asciugare. Trattamento con abrasione ad aria (es. resina composita): Irruvidire la superficie adesiva mediante sabbiatura con polvere di allumina (30-50 μm) utilizzando una pressione d'aria di 0,1-0,2 MPa (1-2 kgf/cm2, 15-29 psi, 1-2 Bar). La pressione dell'aria e la dimensione della polvere devono essere regolate in modo appropriato per adattarsi al materiale e/o alla forma del restauro protesico, facendo attenzione a evitare scheggiature. Pulire la protesi con un'unità di pulizia a ultrasuoni per 2 minuti o con KATANA™ Cleaner, frizionare per 10 secondi e poi risciacquare con acqua.

È possibile utilizzare CLEARFIL™ Universal Bond Quick per i trattamenti di superficie dei restauri di faccette?

Anche se tecnicamente possibile, consigliamo di utilizzare CLEARFIL™ CERAMIC PRIMER PLUS per ottenere prestazioni ottimali per la vetroceramica.

Ci sono altri passaggi da eseguire se si prova il restauro dopo la mordenzatura con acido o l'abrasione ad aria?

Sì, poichè il restauro potrebbe essere contaminato e, di conseguenza, la forza di adesione diminuirebbe. Per rimuovere la contaminazione, applicare KATANA™ Cleaner frizionando per 10 secondi, quindi risciacquare con acqua fino alla scomparsa del colore e asciugare i restauri per rimuovere i contaminanti, oppure applicare la siringa K-ETCHANT (acido fosforico) per 5 secondi in caso di restauri non in ossido di zirconio.

Come posso trattare il dente preparato?

Esistono due modi per trattare il dente preparato: con PANAVIA™ V5 Tooth Primer o con CLEARFIL™ Universal Bond Quick. a) PANAVIA™ V5 Tooth Primer: mordenzare lo smalto con K-ETCHANT (acido fosforico) per 10 secondi, sciacquare e asciugare. Applicare Tooth Primer su tutta la superficie dentale preparata, con un pennello applicatore e lasciarlo in posa per 20 secondi. Asciugare accuratamente l'intera superficie aderente soffiando aria delicata e priva di olio fino a quando tutta l'acqua è evaporata dal primer. b) CLEARFIL™ Universal Bond Quick: Mordenzare selettivamente lo smalto con la siringa K-ETCHANT (acido fosforico) per 10 secondi, risciacquare e asciugare. Applicare l’adesivo con un movimento di sfregamento su tutta la preparazione con il pennello applicatore. Non è necessario alcun tempo di attesa. Asciugare sufficientemente l'intera parete della cavità soffiando aria leggera per più di 5 secondi fino a quando l’adesivo non si muove. Quando si cementano faccette in laminato, non è necessario fotopolimerizzare l’adesivo prima di posizionare le faccette. L’adesivo deve essere polimerizzato dopo aver posizionato le faccette in laminato con il cemento PANAVIA™ Veneer LC. Quando si cementano inlay o onlay, l’adesivo deve essere fotopolimerizzato prima di posizionare il restauro. Verificare il tempo di polimerizzazione facendo riferimento alle Istruzioni per l'uso.

Quali sono le differenze tra l'utilizzo del PANAVIA™ V5 Tooth Primer o del CLEARFIL™ Universal Bond Quick nel trattamento del dente preparato?

In termini di forza di adesione, entrambi sono simili e forniscono risultati eccellenti. Tuttavia, PANAVIA™ V5 Tooth Primer fornisce un meccanismo touch-cure che sigilla l'interfaccia di adesione prima della fotopolimerizzazione finale. Inoltre, mentre il tempo di applicazione è più breve con CLEARFIL™ Universal Bond Quick (nessun tempo di attesa rispetto a 20 s), con PANAVIA™ V5 Tooth Primer il tempo di lavoro alla luce ambientale è più lungo (200 secondi contro 160 secondi con l’adesivo).

Quali sono i vantaggi di PANAVIA™ Veneer LC rispetto ai prodotti concorrenti?

PANAVIA™ Veneer LC offre una consistenza ideale della pasta, che non è né troppo alta né troppo bassa come quella di molti prodotti concorrenti. Questo facilita l'erogazione della pasta sul restauro e la sua perfetta adesione. Altri de vantaggi rispetto ai prodotti della concorrenza sono un basso spessore del film e un lungo tempo di lavorazione. Inoltre, in caso di utilizzo con PANAVIA™ V5 Tooth Primer, il meccanismo touch-cure garantirà la sigillatura dell'interfaccia di adesione.

Come si deve rimuovere il cemento in eccesso?

Si può utilizzare una delle due tecniche seguenti:

 

Tecnica di pulizia Tack-Cure: Fotopolimerizzare il cemento in eccesso in diversi punti per 1 secondo a una distanza di 10-15 mm. Tenendo il restauro protesico in posizione, rimuovere l'eccesso di cemento polimerizzato con uno strumento dentale.

 

Tecnica di pulizia a umido: Il cemento in eccesso sui margini può essere rimosso con un pennellino, un filo interdentale o un esploratore dentale.

 

Indipendentemente dalla tecnica utilizzata, la polimerizzazione finale sarà necessaria come fase successiva. Consultare le Istruzioni per l'uso.

I margini devono essere coperti con un gel protettivo durante la polimerizzazione finale?

L'uso di un gel protettivo, come PANAVIA™ F 2.0 OXYGUARD II è utile per prevenire la formazione di uno strato inibito dall'ossigeno, contribuendo così a creare margini lisci.

In quanti colori è disponibile PANAVIA™ Veneer LC?

È disponibile in 4 colori: Clear, Universal (A2), White e Brown (A4). A ciascun colore corrisponde una pasta prova Try-In a base di glicerina, solubile in acqua.

Come si usa la pasta di prova PANAVIA™ V5?

I colori di PANAVIA™ V5 Try-In Paste corrispondono ai colori di PANAVIA™ Veneer LC (in stato di fotopolimerizzazione) e consentono di simulare l'aspetto finale del restauro. Le Try-In Paste PANAVIA™ V5 non possono essere fotopolimerizzate e possono essere rimosse facilmente con l'acqua.

PANAVIA™ Veneer LC è stabile nel colore?

Sì, la pasta PANAVIA™ Veneer LC è stabile nel colore.

Cosa rende stabile il colore di PANAVIA™ Veneer LC?

Poiché la pasta PANAVIA™ Veneer LC è solo fotopolimerizzabile, non è incluso alcun sistema di polimerizzazione redox a base di agenti riducenti amminici, evitando così scolorimenti indesiderati nel tempo.

Qual sono il carico di riempitivo e la dimensione delle particelle?

La quantità totale di carica inorganica è approssimativamente del 66% in peso, 47% in volume. Le dimensioni delle particelle dei riempitivi inorganici variano da 0,05 μm a 8 μm.

Qual è la principale forma dei filler di PANAVIA™ Veneer LC?

La pasta PANAVIA™ Veneer LC contiene silice sferica e riempitivi nano cluster. Questo permette di ottenere una pasta che non cola, ha un'eccellente lavorabilità e resistenza al cedimento.

Qual è lo spessore del film di PANAVIA™ Veneer LC?

Lo spessore del film della pasta PANAVIA™ Veneer LC è di circa 8 μm.

PANAVIA™ Veneer LC può essere utilizzato per cementare faccette e inlay/onlay in zirconia?

La zirconia non dovrebbe essere utilizzata perché potrebbe non avere una traslucenza sufficiente. Tuttavia, la zirconia dei nostri prodotti ad alta traslucenza (KATANA™ Zirconia STML/UTML, KATANA™ Zirconia Block STML) può essere utilizzata con uno spessore inferiore a 1,2 mm.

Qual è la forza di adesione di PANAVIA™ Veneer LC?

PANAVIA™ Veneer LC ha un'eccellente forza di adesione a diversi substrati (ad esempio smalto, dentina, disilicato di litio, KATANA™ Zirconia, ceramica feldspatica) a un livello simile a quello di PANAVIA™ V5.

Quanti trattamenti possono essere eseguiti con una sola siringa?

Circa 20-30 denti in caso di faccette in laminato.

CLEARFIL MAJESTY™ ES Flow e PANAVIA™ Veneer LC utilizzano gli stessi puntali di applicazione?

No, i puntali di PANAVIA™ Veneer LC sono progettati appositamente per facilitare l'estrusione e l'applicazione e il loro calibro, che è 16 (1,65 mm di diametro), differisce da quelli di CLEARFIL MAJESTY™ ES Flow.

Come si conserva PANAVIA™ Veneer LC?

Il prodotto deve essere conservato in frigorifero. Tutti i componenti conservati in frigorifero devono essere portati a temperatura ambiente per 15 minuti prima dell'uso, per ripristinare la normale viscosità e le proprietà di indurimento.

Qual è la durata di conservazione dei componenti di PANAVIA™ Veneer LC?

La durata di conservazione dei componenti di PANAVIA™ Veneer LC è di 36 mesi dalla data di produzione con refrigerazione.