Identificazione

Il contenuto del sito www.kuraraynoritake.eu/it è riservato agli operatori sanitari e riporta informazioni sui prodotti che possono creare situazioni di pericolo per la salute e la sicurezza del paziente se non correttamente lette, comprese ed applicate da un professionista.

In ottemperanza con quanto previsto dalla normativa vigente, dichiaro quindi, sotto la mia responsabilità, di essere un professionista del settore odontoiatrico e/o odontotecnico e di essere pertanto autorizzato a prendere visione del contenuto presente in questo sito internet

Gamma prodotto completa

RICAMBIO

STANDARD PACK MONODOSE

VALUE PACK FLACONE

STANDARD KIT FLACONE

Bottle (5 ml)
K-ETCHANT Syringe (3 ml)
Applicator Brush (x 50 pcs)
Needle Tip (x 20 pcs)
Mixing Dish
Light Blocking Plate

CLEARFIL™ DC ACTIVATOR

1 bottle (4 ml)

K-ETCHANT SYRINGE

K-ETCHANT Syringe (2 x 3 ml)
Needle Tip (x 40 pcs)
Needle Tips

Specifiche tecniche


Estetica

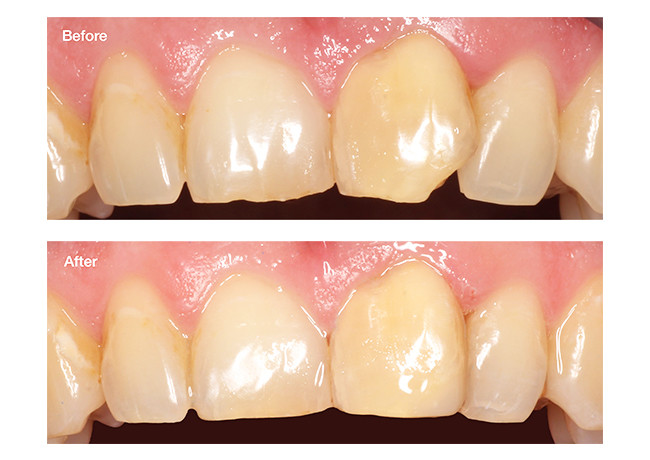
CLEARFIL™ Universal Bond Quick comprises a thin film layer of just 5 to 10 μm making it aesthetically pleasing even in the most demanding anterior restorations. Its innovative new amide monomers create many crosslinks to improve the stability of the thin film layer. This in turn delivers a superior bonding layer which is resistant to moisture and it shows good esthetics along the margin of anterior restorations.


Caratteristiche

Film thickness 5-10 μm Film thickness with CLEARFIL™ DC Activator <1 μm Working time with light blocking plate 7 min. Working time with CLEARFIL™ DC Activator 90 sec. Application time for direct restoration Self-etch Total-etch/ Selective-etch Phosphoric acid etching - 10 sec. Bond application Apply with rubbing motion; No waiting time needed Apply with rubbing motion; No waiting time needed Air-dry 5 sec. 5 sec. Light cure 10 sec.* 10 sec.* Total application time 15 sec. 25 sec. *5 sec. for high power LED (Light intensity: more than 1500 mW/cm2) Principal ingredients 10-Methacryloyloxydecyl dihydrogen phosphate (MDP), Bisphenol A diglycidylmethacrylate (Bis-GMA), 2-Hydroxyethyl methacrylate (HEMA), Hydrophilic amide monomers, Colloidal silica, Silane coupling agent, Sodium fluoride, dl-Camphorquinone, Ethanol, Water

Ordina oggi

Vorresti un supporto per scegliere i prodotti giusti per il tuo studio?

Validazione scientifica

Scopri la validazione scientifica comprovata sul campo

CLEARFIL UNIVERSAL BOND QUICK