429 Too Many Requests

429 Too Many Requests


nginx

PANAVIA Veneer LC (CB)

Značajke i prednosti

Inovativna tehnologija stvrdnjavanja

Svjetlosno stvrdnjavajući cement nudi dugačko radno vrijeme koje olakšava istodobno postavljanje više ljuskica. Temeljni premaz PANAVIA™ V5 Tooth Primer brtvi adhezivni spoj trenutnim stvrdnjavanjem nakon kontakta s pastom (stvrdnjavanje na dodir). Rezultat je jaka i izdržljiva veza.

Visoka estetika

Mala debljina filma i dobra mogućnost poliranja korisnicima omogućuju stvaranje glatkih rubova. Četiri odabrane, različite nijanse vrlo postojane boje nude dugotrajnu estetiku. Usklađene probne paste olakšavaju odabir prave nijanse.

Optimizirano rukovanje

Odgovarajuća viskoznost i konzistencija paste omogućuju lakše nanošenje i pravilno postavljanje restauracija, dok funkcija kratkog stvrdnjavanja za jednu sekundu omogućuje jednostavno uklanjanje viška cementa.

Indikacije

PANAVIA Veneer LC može se koristiti za trajno cementiranje keramike i kompozita:

  • Ljuskice
  • Inleji i onleji tanji
    od 2 mm

Indikacije

PANAVIA Veneer LC može se koristiti za trajno cementiranje keramike i kompozita:

  • Ljuskice
  • Inleji i onleji tanji
    od 2 mm

Inovativna tehnologija stvrdnjavanja

Cement za ljuskice treba nuditi dugačko vrijeme rada, ali i dalje uz veliku čvrstoću veze koja ostaje postojana tijekom vremena. Kuraray Noritake Dental Inc. je razvio način korištenja tehnologije stvrdnjavanja na dodir sa svjetlosno stvrdnjavajućim cementom kako bi pružio oboje.
PANAVIA Veneer LC je svjetlosno stvrdnjavajući kompozitni cementni sustav koji nudi izvrsnu postojanost pod ambijentalnim svjetlom i omogućuje vrijeme rada od 200 sekundi*. To vam omogućuje postavljanje više ljuskica odjednom bez potrebe za utrkivanjem s postavljenim vremenom. Polimerizaciju možete započeti kad god ste za to spremni.

*Vrijeme rada pod ambijentalnim svjetlom (8000 lux): 200 sekundi.

s
VRIJEME RADA*
JEDNOKOMPONENTNI SAMOJETKAJUĆI TEMELJNI PREMAZ

JEDNOKOMPONENTNI SAMOJETKAJUĆI TEMELJNI PREMAZ

Doprinosi polimerizaciji adhezivnog spoja.

SVJETLOSNO STVRDNJAVAJUĆA CEMENTNA PASTA

SVJETLOSNO STVRDNJAVAJUĆA CEMENTNA PASTA

Izvrsna postojanost pod ambijentalnim svjetlom.

SVJETLOSNO STVRDNJANJE

Zapečatite adhezivni spoj sa strukturom zuba stvrdnjavanjem na dodir osiguravajući dovoljno vremena rada.

Slika

Visoka estetika

Zbog njihove općenito minimalne debljine i visoke translucencije, na estetski izgled ljuskica jako utječe boja cementa. Stoga je ključno koristiti kompozitni cement postojane boje i koji stvara rubove koji ostaju nevidljivi tijekom vremena. PANAVIA Veneer LC ispunjava te zadatke.

Visoka estetika

OTPORNOST NA PROMJENU BOJE

Visoka postojanost boje vjerojatno je najvažnija značajka zaslužna za dugotrajnu estetiku, koju osiguravaju dobro uravnotežena formulacija i tehnologija stvrdnjavanja na dodir.

Tand slika (desktop)
Tand slika (mobitel)

Optimizirano rukovanje

Optimizirano rukovanje

Je li moguće skratiti vrijeme i smanjiti trud koji su potrebni za postavljanje ljuskica pomoću cementa koji podržava homogeno nanošenje cementa, jednostavno pozicioniranje ljuskica i uklanjanje viška te brzo poliranje? PANAVIA Veneer LC nudi sve potrebne značajke i visoku kontrolu zahvaljujući posebno dizajniranom vrhu za nanošenje.

NELJEPLJIVOST

kompozitni cement nudi izvrsnu konzistenciju, idealnu za jednostavno i sigurno nanošenje preko površine s dubokim urezima jer se ne lijepi za nastavak za nanošenje zahvaljujući tehnologiji nanoklasterskog punila.

IDEALNA KONZISTENCIJA

Novorazvijenim sfernim punilima od silicija u cementu, osigurava se njegovo ostajanje na mjestu nanošenja, ali uz dobru viskoznost prilikom namještanja ljuskice na zub – za jednostavno postavljanje bez pomicanja ili spuštanja.

JEDNOSTAVNO UKLANJANJE VIŠKA

Višak cementa može se ukloniti u jednom komadu strugačem nakon stvrdnjavanja svjetlom u trajanju od jedne sekunde.

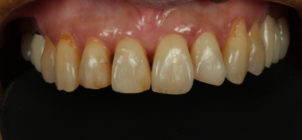
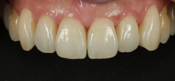
KLINIČKI SLUČAJ

Ustupio Dr. Sato

KLINIČKI SLUČAJ

Ustupio Dr. Sato

Slika 1

1. Početni status prije pripreme 6 ljuskica (od #13 do #23).

Slika 2

2. Izvrsna konzistencija i viskoznost paste PANAVIA Veneer LC omogućuju lakše doziranje, postavljanje i uklanjanje viška cementa.

Slika 3

3. Svjetlosno stvrdnjavanje svih područja i rubova.

Slika 4

4. Konačni rezultat nakon cementiranja 6 ljuskica KATANA™ Zirconia STML.

Detaljne upute potražite u uputama za upotrebu.

Znanost

Izvrsna lakoća poliranja i zadržavanje sjaja

Izvrsna lakoća poliranja i zadržavanje sjaja podržavaju estetske rubove tijekom vremena.

PANAVIA V5 Tooth Primer je samojetkajući adheziv za strukturu zuba (dentin i caklinu) koji sigurno brtvi spoj zuba i adheziva čim se na njega nanese pasta PANAVIA Veneer LC. Ova tehnologija stvrdnjavanja na dodir započinje polimerizaciju samo na adhezivnom spoju i uspostavlja jaku vezu s caklinom i dentinom, ali ne utječe na reakciju vezivanja cementa. Velika čvrstoća veze s restaurativnim materijalima postiže se upotrebom dokazanog premaza CLEARFIL™ CERAMIC PRIMER PLUS.

Zadržavanje sjaja
Zadržavanje sjaja
PANAVIA Veneer LC Paste

Izvor: Kuraray Noritake Dental Inc.

Zadržavanje sjaja
Zadržavanje sjaja
PANAVIA Veneer LC Paste
Variolink* Esthetic LC
RelyX* Veneer

Uvjeti testiranja: uzorak ø10 mm, debljina 2 mm. Nakon zaglađivanja površine vodootpornim abrazivnim papirom od #1000 do #2500, završno poliranje folijom za glačanje. Početna vrijednost (izmjerite razinu sjaja nakon poliranja*). Istrošenost četkicom za zube (mjereno nakon 40.000 poteza s opterećenjem od 250 g, 30 poteza/minuti, 10 mas% paste za zube*). Mjereno mjeračem sjaja VG 2000 (Nippon Denshoku Kogyo) pod kutom od 60°. Napomena: Vrijednosti mogu varirati ovisno o uvjetima mjerenja.

Izvor: Kuraray Noritake Dental Inc.
*Nije zaštićeni žig tvrtke KURARAY CO., LTD.

Smična čvrstoća vezivanja na ljudski zub
Smična čvrstoća vezivanja na ljudski zub
Caklina
Dentin

Uvjeti testiranja: poliranje #1000, jetkanje cakline fosfornom kiselinom, SUS čip (promjer 3 mm), mjereno nakon jednodnevne pohrane u vodi na 37°C.

Izvor: Kuraray Noritake Dental Inc.
*Nije zaštićeni žig tvrtke KURARAY CO., LTD.

Smična čvrstoća vezivanja na protetski materijal
Smična čvrstoća vezivanja na protetski materijal
37°C 1 dan
TC3000

Uvjeti testiranja: poliranje #1000, pjeskarenje („KATANA™ Zirconia”) ili jetkanje hidrofluoričnom kiselinom (staklokeramika), SUS čip (promjer 5 mm), mjereno nakon jednodnevne pohrane u vodi na 37°C ili termičkog ciklusa na 4-60°C.

Izvor: Kuraray Noritake Dental Inc.
*Nije zaštićeni žig tvrtke KURARAY CO., LTD.

Nijanse

PANAVIA V5 TRY-IN PASTE
Clear
Universal
White
Brown

ČETIRI VISOKO ESTETSKE NIJANSE

USKLAĐENE PROBNE PASTE

MINIMALNA DEBLJINA FILMA

S nijansom koja odgovara individualnim zahtjevima, lako se postižu realistični rezultati.

Probne paste PANAVIA V5 odgovaraju nijansama PANAVIA Veneer LC i omogućuju simulaciju konačnog izgleda.

Zahvaljujući svojoj VISKOZNOSTi i maloj debljini filma, PANAVIA Veneer LC stvara tanak, ravnomjerno raspoređen sloj cementa koji pridonosi lakom postavljanju bez smetnji i visoko estetskim rubovima.

ČETIRI VISOKO ESTETSKE NIJANSE

S nijansom koja odgovara individualnim zahtjevima, lako se postižu realistični rezultati.

USKLAĐENE PROBNE PASTE

Probne paste PANAVIA V5 odgovaraju nijansama PANAVIA Veneer LC i omogućuju simulaciju konačnog izgleda.

MINIMALNA DEBLJINA FILMA

Zahvaljujući svojoj VISKOZNOSTi i maloj debljini filma, PANAVIA Veneer LC stvara tanak, ravnomjerno raspoređen sloj cementa koji pridonosi lakom postavljanju bez smetnji i visoko estetskim rubovima.

  • Međunarodno visoko cijenjen

     

    Svjedočenja

  •  Dr. Greg Campbell, DDS
  • Dr. Greg Campbell, DDS
    SAD

    „Sviđa mi se svestranost novog cementa PANAVIA Veneer LC kada je u pitanju postavljanje ljuskica i onleja. Mogu koristiti PANAVIA V5 Tooth Primer ili adheziv CLEARFIL Universal i dobiti dokazane prednosti originalnog MDP-a i „zlatnog standarda” za vezivanje koje možemo očekivati od tvrtke Kuraray. Jednostavan za korištenje, jednostavan za čišćenje i iznimno jaka veza. Četiri nijanse i probne paste daju mi

  •  

    Dr. Karyn Halpern, DDS
    SAD

    „Tako sam impresionirana vezivanjem ovog novog cementa. Ne samo da je jak, već je bio i super jednostavan za primjenu, postavljanje i čišćenje!
    Nepotrebno je i reći da sam obožavatelj!”

     

     

  •  Dr. Karyn Halpern DDS
  •  Dr. Gianmarco O'Brien, DDS, Inc.
  • Dr. Gianmarco O'Brien, DDS, Inc.
    SAD

    „Ovaj proizvod je ono što sam očekivao od tvrtke kao što je Kuraray, lidera u adhezivnoj stomatologiji. Jednostavan za kliničku upotrebu (izvrsno rukovanje), vrlo postojana boja budući da NEMA efekta SIVLJENJA NAKON LIJEPLJENJA od tercijarnih amina (aromatski amin). Imam potpuno povjerenje u TRAJNU čvrstoću veze ostvarene njihovim proizvodima. Ovo je moj novi sustav adhezivnog cementa na bazi smole za ljuskice!”