Overview
Clearfil Majesty ES Composites
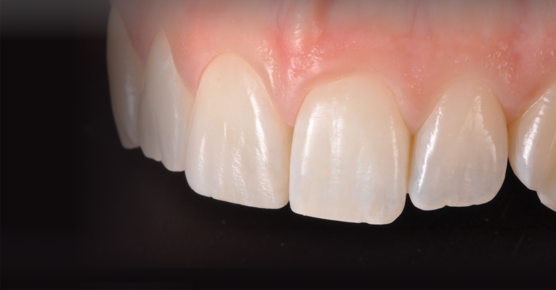
Restaurations esthétiques durables, prévisibles et stupéfiantes
Nos composites peuvent être facilement traités sans procédures complexes et pour un large spectre d'indications.
Vous obtenez constamment d'excellents résultats.
![]()
Source: Restoration elements 11 and 12 with Clearfil Majesty ES-2 by Dr. Gaetano Paolone and Dr. Salvatore Scolavino
GAMMES DE PRODUITS CLEARFIL MAJESTY™ ES
-
GAMMES DE PRODUITS CLEARFIL MAJESTY™ ES
Stratification 2 couches avec des combinaisons de teintes fixes
-
CLEARFIL MAJESTY ES-2 CLASSIC
Composite monochromatique dans les teintes VITA
-
CLEARFIL MAJESTY ES FLOW
Une nouvelle brillance unique en son genre
Un large spectre d'indications
CLEARFIL MAJESTY ES-2 & CLEARFIL MAJESTY ES FLOW
CARACTÉRISTIQUES DU PRODUIT
-
-
CLEARFIL MAJESTY ES-2 PREMIUMCLEARFIL MAJESTY ES-2 CLASSICCLEARFIL MAJESTY ES FLOW
-
Choisissez en toute confiance
Le choix de la bonne teinte n'a jamais été aussi précis. Avec Clearfil Majesty ES-2, le premier système de teinte au monde basé sur la luminosité pour les composites directs.

-
Meilleure fusion entre la teinte, le matériau et la dent naturelle
La brillance, la stratification et la technologie de diffusion de la lumière travaillent de concert. C'est la somme de propriétés multiples qui assure des effets esthétiques aussi vrais que nature inégalés tels que vivacité et profondeur.
-
-
-
De clair à foncé
L'ACCENT PORTÉ SUR LA LUMINOSITÉ
Notre concept de teintes intuitif est basé sur la luminosité. Parce que la luminosité détermine 90% de toutes les teintes, déterminées par les différentes dimensions de tonalité chromatique (teinte), de saturation des couleurs (chroma) et de luminosité. Alors évidemment, au départ vous souhaiteriez toujours la bonne luminosité ! À quoi ressemble la gamme de couleurs des dents naturelles dans le monde ?
Les résultats d'une étude VITA™ sur la gamme de couleurs révèlent que les couleurs des dents se différencient davantage en termes de luminosité qu'en termes de tonalité chromatique ou de saturation des couleurs. La différence naturelle en matière de luminosité est indiquée par une répartition elliptique (illustration).
-
Technologie de diffusion de la lumière
Le lien entre composite et nature
Technologie de diffusion de la lumière : faculté d’auto-adaptation Lorsque vous avez choisi la teinte correcte et donc l'opacité correcte, la technologie de diffusion de la lumière assure la touche finale, en réalisant l’adaptation de la bonne tonalité chromatique (hue) et de la saturation (chroma) aux tissus dentaires avoisinants.
La technologie de diffusion de la lumière assure la touche finale, en réalisant l’adaptation aux tissus dentaires avoisinants.
-
-
La dent naturelle absorbe la lumière et la rediffuse dans toutes les directions. La charge diffusant la lumière développée par Kuraray diffuse la lumière comme dans la dent naturelle.
-
Source : Dr. Toshimoto Yamada, DDS, PhD, Hôpital Toranomon, Japon.
-
-
Création d’une profondeur naturelle
La bonne translucidité de l’émail et l’opacité de la dentine sont reproduites
De manière surprenante, l'opacité est un facteur sous-estimé pour une intégration réussie entre la dent et le composite. Sans une opacité et une translucidité correctes, pas de bonne intégration possible. Le nouveau CLEARFIL MAJESTY™ ES-2 a été conçu avec une translucidité de l'émail et une opacité de la dentine prédéterminées.
Source: Restoration elements 11 and 12 with Clearfil Majesty ES-2 by Dr. Gaetano Paolone and Dr. Salvatore Scolavino
Technologies intégrées
-
Fluorescence
La fluorescence est conforme à celle de la dentition naturelle
-
Opalescence
L'opalescence de ces composites correspond à l'opalescence naturelle.
-
Opacité
Clearfil Majesty ES-2 propose trois opacités différentes. Premium Dentin présente la plus grande opacité, suivi de Classic. Premium Enamel présente évidemment l'opacité la plus faible, ou en d'autres termes, la plus grande transparence.
Propriétés intégrées
-
Teinte constante
Les couleurs des composites CLEARFIL MAJESTYTM ESTHETIC sont, avant la polymérisation, identiques à celles du matériau polymérisé.
Vous n’aurez pas de surprises.
-
Utilisation universelle
Les composites CLEARFIL MAJESTY ES, y compris ES Flow, peuvent être utilisés pour la restauration des dents aussi bien antérieures que postérieures.
Teneur en matières de charge : ES-2 PREMIUM et CLASSIC : 66 % en volume (78 % en poids)
ES Flow : 59 % en volume (75 % en poids) -
Maniabilité
Leur consistance optimisée rend le travail avec les composites de la gamme CLEARFIL MAJESTYTM ES particulièrement agréable.
Notre gamme
CLEARFIL MAJESTY ES-2 PREMIUM
Stratification 2 couches avec des combinaisons de teintes fixes
CLEARFIL MAJESTY ES-2 CLASSIC
Composite monochromatique dans les teintes VITA
CLEARFIL MAJESTY ES FLOW
Une nouvelle brillance unique en son genre
CLEARFIL MAJESTY™ Posterior
CLEARFIL MAJESTY™ Posterior est une résine composite photopolymérisable pour restaurations postérieures, supernanochargée et radiopaque, composée de nano- et microparticules inorganiques traitées avec une nouvelle technologie brevetée de revêtement de surface. Pour des restaurations postérieures fiables et durables.