429 Too Many Requests

429 Too Many Requests


nginx

PANAVIA Veneer LC (CB)

Својства и предности

Иновативна технологија полимеризације

Светло-полимеризујући цемент омогућава дугачко време рада које олакшава истовремено постављање више фасета. PANAVIA™ V5 Tooth Primer затвара адхезивни спој тако што се полимеризује одмах након контакта са пастом (touch-cure). Резултат је снажно и дуготрајно везивање.

Висока естетика

Мала дебљина филма и добра могућност полирања омогућавају корисницима да стварају глатке маргине. Четири различите изабране нијансе са високом стабилношћу боје пружају дуготрајну естетику. Подударне пасте за испробавање олакшавају одабир одговарајуће нијансе.

Оптимизовано руковање

Одговарајућа вискозност и конзистенција пасте омогућавају лакше истискивање и правилно намештање рестаурације "tack-cure" у једном секунду омогућава једноставно одстрањивање вишка цемента.

Индикације

PANAVIA Veneer LC може да се користи за трајно цементирање керамике и композита:

  • фасете
  • инлеји и онлеји дебљине мање од
    2 мм

Индикације

PANAVIA Veneer LC може да се користи за трајно цементирање керамике и композита:

  • фасете
  • инлеји и онлеји дебљине мање од
    2 мм

Иновативна технологија полимеризације

Цемент за фасетирање треба да омогући дуго време рада, али истовремено треба и да пружи и велику чврстоћу везивања која остаје стабилна током времена. Компанија Kuraray Noritake Dental Inc. развила је начин коришћења технологије полимеризације ("touch-cure") са светлосно полимеризујућим цементом која омогућује оба ова захтева.
PANAVIA Veneer LC је светлосно полимеризујући систем композитног цемента који пружа одличну стабилност под амбијенталним светлом што осигурава време рада од 200 секунди*. То Вам омогућава да поставите више фасета у једном кораку, а да не морате да журите због полимеризације. Са полимеризацијом можете да започнете када будете спремни за њу.

*Време рада под амбијенталним светлом (8000 лукса): 200 секунди.

СЕК
ВРЕМЕ РАДА*
ЈЕДНОКОМПОНЕНТНИ САМОНАГРИЗАЈУЋИ ПРАЈМЕР

ЈЕДНОКОМПОНЕНТНИ САМОНАГРИЗАЈУЋИ ПРАЈМЕР

Доприноси полимеризацији адхезивног споја.

СВЕТЛОМ ПОЛИМЕРИЗОВАНА ЦЕМЕНТНА ПАСТА

СВЕТЛОМ ПОЛИМЕРИЗОВАНА ЦЕМЕНТНА ПАСТА

Одлична стабилност на амбијенталном светлу.

ПОЛИМЕРИЗАЦИЈА СВЕТЛОМ

Затворите адхезивни спој са структуром зуба техником "touch-cure" уз обезбеђивање довољно дугог времена рада.

Слика

Висока естетика

Захваљујући њиховој генерално минималној дебљини и високој транслуценцији, на естетски изглед фасета у великој мери утиче боја цемента. Због тога је од велике важности да се користи композитни цемент чија је боја стабилна и који производи маргине које остају неприметне током времена. Производ PANAVIA Veneer LC може да испуни све те задатке.

Висока естетика

ОТПОРНОСТ НА ДИСКОЛОРАЦИЈУ

Висока стабилност боје је вероватно најважније својство одговорно за дуготрајну естетику, а постиже се захваљујући добро избалансираној формулацији и технологији.

Танд слика (десктоп)
Танд слика (мобилни)

Оптимизоване руковање

Оптимизоване руковање

Могуће је скратити време и смањити напор који су потребни за цементирање фасете са цементом које подржава хомогено наношење, једноставно позиционирање фасете и одстрањивање вишка те брзо полирање? Производ PANAVIA Veneer LC пружа сва потребна својства и омогућава контролу захваљујући посебно дизајнираном наставку за наношење.

НЕЛЕПЉИВОСТ

Овај композитни цемент пружа изврсну и идеалну конзистенцију за једноставно и безбедно наношење на површини јер се не лепи на наставак за наношење захваљујући технологији нано-кластер пунила.

ИДЕАЛНА КОНЗИСТЕНЦИЈА

Новоразвијена сферична силикатна пунила у цементу омогућавају да он остане на месту на ком је постављен, али има добру вискозност када се фасета намести на зуб - за једноставно постављање без помицања или испадања.

ЈЕДНОСТАВНО ОДСТРАЊИВАЊЕ ВИШКА

Вишак цемента помоћусонде може да се одстрани у једном комаду након полимеризације "tack-cure" у трајању од један секунд.

КЛИНИЧКИ СЛУЧАЈ

Уступио др Сато (Sato)

КЛИНИЧКИ СЛУЧАЈ

Уступио др Сато (Sato)

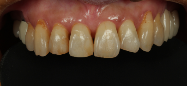
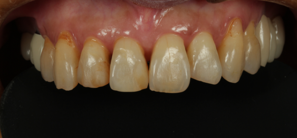
Слика 1

1. Почетно стање пре препарације 6 фасета (од бр. 13 до бр. 23).

Слика 2

2. Одлична конзистенција и вискозност пасте PANAVIA Veneer LC омогућавају једноставније дозирање, наношење и одстрањивање вишка цемента.

Слика 3

3. Полимеризација светлом сваког подручја и маргина.

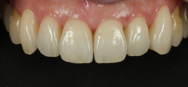
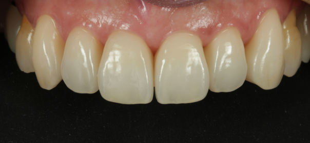
Слика 4

4. Завршни резултат након цементирања 6 фасета од материјала KATANA™ Zirconia STML.

Детаљне инструкције потражите у упутству за употребу.

Наука

Одлична могућност полирања и задржавање сјаја

Одлична могућност полирања и одлично задржавање сјаја подржавају естетске маргине током времена.

Производ PANAVIA V5 Tooth Primer је самонагризајући адхезив за структуру зуба (дентин и глеђ) који сигурно затвара спој зуба и адхезива чим се производ PANAVIA Veneer LC Paste нанесе на њега. Ова технологија полимеризације ("touch-cure") започиње полимеризацију само на адхезивном споју и успоставља чврсто везивање на глеђ и дентин, али не утиче на реакцију стврдњавања цемента. Велика чврстоћа везивања на ресторативне материјале постиже се коришћењем доказаног производа CLEARFIL™ CERAMIC PRIMER PLUS.

Задржавање сјаја
Задржавање сјаја
PANAVIA Veneer LC Paste

Извор: Kuraray Noritake Dental Inc.

Задржавање сјаја
Задржавање сјаја
PANAVIA Veneer LC Paste
Variolink* Esthetic LC
RelyX* Veneer

Услови тестирања: узорак ø10 мм, дебљина 2 мм. Након полирања површине водоотпорним абразивним папиром од бр. 1000 дo бр. 2500, врши се завршно полирање лапинг филмом. Почетна вредност (измерите ниво сјаја након полирања*). Трошење четкице за зубе (измерено након 40.000 удара са оптерећењем од 250 г, 30 удара/минут, паста за зубе са 10 теж. %*). Измерено мерачем сјаја VG 2000 (Nippon Denshoku Kogyo) под углом од 60°. Напомена: Вредности могу да варирају зависно од услова мерења.

Извор: Kuraray Noritake Dental Inc.
*Није робна марка компаније KURARAY CO., LTD.

Чврстоћа везе на смицање за људске зубе
Чврстоћа везе на смицање за људске зубе
Глеђ
Dentin

Услови тестирања: Полирање брусним папиром бр. 1000, нагризање глеђи фосфорном киселином, SUS чип (преч. 3 мм), измерено након држања у води на 37°C током 1 дана.

Извор: Kuraray Noritake Dental Inc.
*Није робна марка компаније KURARAY CO., LTD.

Чврстоћа везе на смицање за протетске материјале
Чврстоћа везе на смицање за протетске материјале
37°C 1 дан
TC3000

Услови тестирања: Полирање брусним папиром бр. 1000, пескирање ("KATANA™ Zirconia") или нагризање флуороводоничном киселином (стакло-керамика), SUS чип (преч. 5 мм), измерено након држања у води на 37°C током 1 дана или топлотног циклуса на 4-60°C.

Извор: Kuraray Noritake Dental Inc.
*Није робна марка компаније KURARAY CO., LTD.

Нијансе

PANAVIA V5 TRY-IN PASTE
Clear
Universal
White
Brown

ЧЕТИРИ ВИСОКО ЕСТЕТСКЕ НИЈАНСЕ

ПОДУДАРНЕ ПАСТЕ ЗА ИСПРОБАВАЊЕ

МИНИМАЛНА ДЕБЉИНА ФИЛМА

Са нијансом која одговара индивидуалним захтевима лако се постижу резултати природног изгледа.

Пасте за испробавање PANAVIA V5 Try-In Pastes одговарају нијансама производа PANAVIA Veneer LC и омогућавају симулацију завршног изгледа.

Захваљујући његовој вискозности и малој дебљини филма PANAVIA Veneer LC производи танак, равномерно распоређен слој цемента који доприноси једноставном намештању без ометања и изради високо естетских маргина.

ЧЕТИРИ ВИСОКО ЕСТЕТСКЕ НИЈАНСЕ

Са нијансом која одговара индивидуалним захтевима лако се постижу резултати природног изгледа.

ПОДУДАРНЕ ПАСТЕ ЗА ИСПРОБАВАЊЕ

Пасте за испробавање PANAVIA V5 Try-In Pastes одговарају нијансама производа PANAVIA Veneer LC и омогућавају симулацију завршног изгледа.

МИНИМАЛНА ДЕБЉИНА ФИЛМА

Захваљујући његовој вискозности и малој дебљини филма PANAVIA Veneer LC производи танак, равномерно распоређен слој цемента који доприноси једноставном намештању без ометања и изради високо естетских маргина.

  • Интернационално веома цењен производ

     

    Сведочанства

  • Afbeelding Dr. Greg Campbell, DDS
  • др. Грег Кембел (Greg Campbell, DDS)
    САД

    "Волим универзалност новог цемента PANAVIA Veneer LC који користим за израду фасета и онлеја. Могу да користим производ PANAVIA V5 Tooth Primer или мој адхезив CLEARFIL Universal и уверим се у доказане предности оригиналног MDP и везивања са “златним стандардом” који свакако очекујемо од компаније Kuraray. Једноставан за коришћење, једноставан за чишћење и изузетно чврсто се веже. Четири нијансе и пасте за испробавање пружају ми комплетну контролу и увек изнова гарантују клинички успех!
    Хвала ти Kuraray Noritake за још један одличан производ."

     

  •  

    др Карин Халперн (Karyn Halpern, DDS)
    САД

    "Веома сам импресионирана везивањем овог новог цемента. Не само да је чврст, него је и веома једноставан за коришћење, постављање и чишћење!
    Сувишно је и рећи да сам његов обожавалац!"

     

     

  • Afbeelding Dr. Karyn Halpern DDS
  • Afbeelding Dr. Gianmarco O'Brien, DDS, Inc.
  • др Ђанмарко Обрајен (Gianmarco O'Brien, DDS, Inc.)
    САД

    "Овај производ је баш оно што очекујем од компаније као што је Kuraray, лидера у адхезивној стоматологији. Једноставан за клиничко коришћење (одлично руковање), веома добра стабилност боје јер нема ефекта ПОСИВЉАВАЊА НАКОН ВЕЗИВАЊА због терцијарних амина (ароматски амин). Имам потпуно поверење у ДУГОТРАЈНУ чврстоћу везивања са овим производом. Ово је мој нови омиљени систем адхезивног композитног цемента за фасете!"

     

Производи

За поручивање изаберите једну од следећих опција.

PANAVIA V5 Try-in Paste
PANAVIA V5 Try-in Paste

1,8 мл

Universal (A2)
Clear
Brown (A4)
White
Opaque

-
+
PANAVIA™ Veneer LC KITS
PANAVIA™ Veneer LC KITS
-
+
CLEARFIL™ CERAMIC PRIMER PLUS
CLEARFIL™ CERAMIC PRIMER PLUS

4 мл

-
+
PANAVIA™ Veneer LC Applicator tip
PANAVIA™ Veneer LC Applicator tip

20 наставака за наношење (16 г)

-
+
PANAVIA™ Veneer LC PASTE
PANAVIA™ Veneer LC PASTE
-
+
PANAVIA V5 Tooth Primer
PANAVIA V5 Tooth Primer

4 мл

-
+

Често постављана питања

Саставили смо списак одговора на најчешће постављана питања.

What is “PANAVIA™ Veneer LC”?

“PANAVIA™ Veneer LC” is a light-cure adhesive resin cement system. It consists of the “PANAVIA™ Veneer LC” Paste (a light-cure cement paste), “CLEARFIL™ CERAMIC PRIMER PLUS” (a silane, zirconia & metal primer), K-ETCHANT Syringe (Phosphoric Acid), and “PANAVIA™ V5” Try-in Paste. “CLEARFIL™ Universal Bond Quick” or “PANAVIA™ V5” Tooth Primer can be chosen for tooth treatment.

What are the indications?

Cementation of ceramic and composite inlays, onlays and laminate veneers with less than 2 mm thickness of the following materials: silica-based ceramics (e.g. conventional porcelain, lithium disilicate), hybrid ceramics, composite resin and “KATANA™ Zirconia” STML/UTML/YML (with a thickness of less than 1.2 mm).

How can I treat the prosthetic restoration?

Follow the Instructions for Use of the restorative material. In the absence of specific instructions, we recommend the following procedures and application of the provided “CLEARFIL™ CERAMIC PRIMER PLUS”: if the adherent surface is silica-based ceramic (e.g. conventional porcelain, lithium disilicate), hybrid ceramic or composite resin: Based on the type of restoration, hydrofluoric acid etching or air abrasion treatment may be used:

 

Acid Etching Treatment (e.g. conventional porcelain, lithium disilicate):
Etch the adherent surface with a hydrofluoric acid solution in accordance with the Instructions for Use of the solution. Rinse the adherent surface with water and dry.

 

Air Abrasion Treatment (e.g. composite resin):
Roughen the adherent surface by blasting with alumina powder (30-50 μm) using air pressure of 0.1-0.2 MPa (1-2 kgf/cm2, 15-29 psi, 1-2 Bar). The air pressure and powder size should be properly adjusted to suit the material and/or shape of the prosthetic restoration, using caution to prevent chipping. Clean the prosthetic restoration in an ultrasonic cleaning unit for 2 minutes or with “KATANA™ Cleaner” with 10 seconds of rubbing and then rinse with water.

Is it possible to use “CLEARFIL™ Universal Bond Quick” for the surface treatments of veneer restorations?

Although technically possible, we recommend to use “CLEARFIL™ CERAMIC PRIMER PLUS” to get optimal performance for glass ceramics.

Are there additional steps, if I try-in the restoration after it is acid etched or air abraded?

Yes, doing that would contaminate the restoration and, hence, decrease the bond strength. To remove the contamination, use “KATANA™ Cleaner” for 10 seconds with a rubbing motion then rinse with water until the color has been disappeared and dry the restorations to remove contaminants, or apply K-ETCHANT Syringe (Phosphoric Acid) for 5 seconds in case of non-zirconia restorations.

How can I treat the prepared tooth?

There are 2 ways to treat the prepared tooth: with the “PANAVIA™ V5” Tooth Primer or “CLEARFIL™ Universal Bond Quick”.

 

a) “PANAVIA™ V5” Tooth Primer: Etch the enamel with the K-ETCHANT (phosphoric acid) for 10 seconds, rinse and dry. Apply the Tooth Primer to the entire prepared tooth surface, with an applicator brush and leave it in place for 20 seconds. Thoroughly dry the entire adherent surface sufficiently by blowing mild, oil-free air until all water is evaporated from the primer.

 

b) “CLEARFIL™ Universal Bond Quick”: Selective etch the enamel with K-ETCHANT syringe (phosphoric acid) for 10 seconds, rinse and dry. Apply BOND with a rubbing motion to the entire preparation with the applicator brush. No waiting time is required. Dry the entire cavity wall sufficiently by blowing mild air for more than 5 seconds until BOND does not move.

 

When cementing laminate veneers, there is no need to light-cure BOND prior to seating the laminate veneers. It should be cured after seating the laminate veneers with the “PANAVIA™ Veneer LC” cement. When cementing inlays or onlays, BOND should be light-cured before seating the restoration. Please confirm the curing time by referencing the Instructions for Use.

What are the differences of using the “PANAVIA™ V5” Tooth Primer or “CLEARFIL™ Universal Bond Quick” when treating the prepared tooth?

In terms of bond strength, both are similar and provide excellent results. Nevertheless, the “PANAVIA™ V5” Tooth Primer will provide a “touch-cure” mechanism that will seal the bonding interface before the final light curing. Additionally, while the application time is shorter with “CLEARFIL™ Universal Bond Quick” (no waiting time versus 20 s), there is a longer working time under ambient light with the “PANAVIA™ V5” Tooth Primer (200 seconds vs 160 seconds with the BOND).

What are the advantages of “PANAVIA™ Veneer LC” over competing products?

PANAVIA™ Veneer LC” offers the ideal paste consistency, not being too high or too low as several competitive products. This will facilitate the dispensing of the paste onto the restoration and smooth seating of such restoration. A low film thickness and long working time are also advantages over competitive products. In addition, in case of using it with the “PANAVIA™ V5” Tooth Primer, the “touch-cure” mechanism will provide bonding interface sealing.

How should the excess cement be removed?

One of the following two techniques can be used:

 

Tack-Cure Clean-Up Technique: Light-cure any excess cement in several spots for 1 second at a distance of 10-15 mm. Hold the prosthetic restoration in position, remove the tack-cured excess cement using a dental instrument.

 

Wet Clean-Up Technique: Any excess cement remaining at the margins can be removed with a small brush, foam pellet, dental floss or dental explorer.

 

Regardless of the technique used, final curing will be required as the next step. Please refer to the Instructions for Use.

Should the margins be covered with a protective gel during final curing?

The use of a protective gel, like “PANAVIA™ F 2.0” OXYGUARD II, is beneficial to prevent the forming of an oxygen inhibited layer thus helping to create smooth margins.

How many shades of “PANAVIA™ Veneer LC” Paste are available?

There are 4 shades of “PANAVIA™ Veneer LC” Paste available: Clear, Universal (A2); White and Brown (A4). Each shade has a corresponding glycerin based, water soluble Try-In Paste.

How is the “PANAVIA™ V5” Try-in Paste used?

The “PANAVIA™ V5” Try-In Paste shades match the “PANAVIA™ Veneer LC” shades (in light-cured state) and allow for a simulation of the final appearance of the restoration. The “PANAVIA™ V5” Try-In Paste cannot be (light) cured, and can be removed easily with water.

Is “PANAVIA™ Veneer LC” color stable?

Yes, “PANAVIA™ Veneer LC” Paste is color stable.

What makes “PANAVIA™ Veneer LC” color stable?

Since “PANAVIA™ Veneer LC” Paste is only light curing, no amine reducing agent based redox curing system is included avoiding unwanted discoloration over time.

What is the filler load and particle size?

The total amount of inorganic filler is approximately, 66 wt%, 47 vol%. The particle size of inorganic fillers range from 0.05 μm to 8 μm.

What is the main filler form of “PANAVIA™ Veneer LC”?

“PANAVIA™ Veneer LC” Paste has spherical silica and nano cluster fillers. This provides a paste which is not runny, has excellent handling, and resistance to sagging.

What is the film thickness of “PANAVIA™ Veneer LC”?

“PANAVIA™ Veneer LC” Paste film thickness is around 8 μm.

Can “PANAVIA™ Veneer LC” be used to cement zirconia veneers and inlays/onlays?

Zirconia should not be used because it may not have sufficient translucency. However, zirconia of our products with high translucency (“KATANA™ Zirconia” STML/UTML, “KATANA™ Zirconia” Block STML) can be used with a thickness of less than 1.2 mm.

How is the bond strength of “PANAVIA™ Veneer LC”?

“PANAVIA™ Veneer LC” has excellent bond strength to several substrates (e.g. enamel, dentin, lithium disilicate, “KATANA™ Zirconia”, feldspar ceramic) at a similar level to the acclaimed “PANAVIA™ V5”.

How many treatments can be cemented with a single syringe?

Approximately 20-30 teeth for laminate veneer.

Do “CLEARFIL MAJESTY™ ES Flow” and “PANAVIA™ Veneer LC” use the same application tips?

No, the “PANAVIA™ Veneer LC” Paste tips are specially designed for an easy extrusion and application and their gauge, which is 16 (1.65 mm in diameter) and differ from the “CLEARFIL MAJESTY™ ES Flow” ones.

How do I store “PANAVIA™ Veneer LC”?

The product should be stored in the refrigerator. All components stored in the refrigerator should be brought to room temperature for 15 minutes before use in order to restore its normal viscosity and curing properties.

What is the shelf-life of the “PANAVIA™ Veneer LC” components?

The shelf-life of “PANAVIA™ Veneer LC” components is 36 months from date of manufacture with refrigeration.