PANAVIA Veneer LC (CB)
ĪPAŠĪBAS UN IEGUVUMI
INOVATĪVA CIETĒŠANAS TEHNOLOĢIJA
PANAVIA™ V5 Tooth Primer nodrošina spēcīgu un izturīgu adhēziju, uzsākot cietēšanu brīdī, kad notiek saskare ar pastu. PANAVIA Veneer LC joprojām nodrošina ilgstošu apstrādes laiku, kura dēļ iespējams vienlaikus veikt vairāku venīrus cementēšanu. Kopējais rezultāts ir uzticams un noturīgs.
IZCILA ESTĒTIKA
Plānās cementa kārtas un labās pulējamības dēļ, ir viegli nodrošināt gludas restaurāciju robežas. Pieejami četri dažādi toņi ar augstu krāsas noturīgumu, kas nodrošina ilgstošu estētiku. Atbilstošas try-in pastas atvieglo piemērotākā toņa izvēli.
OPTIMIZĒTA APSTRĀDE
Viskozitāte un tiksotropija ir optimizēta tā, lai atvieglotu cementa dozēšanu un venīru novietošanu uz zoba. Ātra (vienas sekundes) piecietināšana ļauj bez piepūles noņemt lieko materiālu.
INOVATĪVA CIETĒŠANAS TEHNOLOĢIJA
Uzņēmums Kuraray Noritake Dental Inc. ir izstrādājis veidu, kā izmantot inovatīvo touch-cure jeb skāriencietināšanas tehnoloģiju kopā ar gaismā cietējošu cementu. Joprojām tiek nodrošināts ilgs apstrādes laiks un ilgstoša, spēcīga adhēzija.
PANAVIA Veneer LC is gaismā cietējoša sveķu cementa sistēma, kas nodrošina izcilu stabilitāti apkārtējā apgaismojumā un 200 sekundes ilgu apstrādes laiku.* Tādējādi ir iespējams vienlaicīgi cementēt vairākus venīrus un neuztraukties par to, ka cements sacietēs pārāk ātri. Polimerizāciju var sākt tad, kad esat tai gatavs.
*Apstrādes laiks apkārtējā apgaismojumā (8000 luksi): 200 sekundes.

VIENA ETAPA PAŠKODINOŠS PRAIMERIS
Veicina adhezīvo virsmu polimerizāciju.

GAISMĀ CIETĒJOŠA CEMENTA PASTA
Izcila stabilitāte apkārtējā apgaismojumā.
CIETINĀŠANA GAISMĀ
Sasaistiet adhezīvo virsmu ar zoba struktūru, izmantojot touch-cure
jeb skāriencietināšanu un saglabājot pietiekami ilgu darbības laiku.

Izcila estētika
Kopumā minimālā biezuma un augstās caurspīdīguma pakāpes dēļ venīru estētiku būtiski ietekmē cementa tonis. PANAVIA Veneer LC nezaudē krāsu un nodrošina restaurāciju robežas, kas laika gaitā ir nemainīgi neredzamas.

NOTURĪBA PRET DISKOLORĀCIJU
PANAVIA Veneer LC līdzsvarotā formula un skāriencietināšanas jeb touch-cure tehnoloģija nodrošina noturību pret krāsas maiņu un līdz ar to arī augstu krāsas stabilitāti, kas varētu būt svarīgākais faktors ilgstošas estētikas panākšanai.
OPTIMIZĒTA APSTRĀDE

Vai ir iespējams samazināt venīru cementēšanai nepieciešamo laiku un piepūli? PANAVIA Veneer LC veicina vienmērīgu cementa uzklāšanu, vienkāršu venīru pozicionēšanu, ērtu liekā materiāla noņemšanu un ātru pulēšanu. Izcilā uzklāšanas kontrole tiek panākta, izmantojot īpaši konstruēto šļirci un uzklāšanas uzgali.
NELĪPOŠS MATERIĀLS
Produkta PANAVIA Veneer LC nanoklasteru pildvielas tehnoloģija novērš materiāla staipīšanos, un izcilā, ideāli piemērotā konsistence nodrošina ērtu un drošu uzklāšanu.
IDEĀLA KONSISTENCE
Cementa tiksotropisko īpašību izraisītā noplakšana vai nobīde vairs nav problēma. Lielisko apstrādes kvalitāti veicina nesen izstrādātā lodveida silīcija pildviela. PANAVIA Veneer LC nodrošina kontrolētu aplikāciju, tas paliek uzklāšanas vietā, bet pēc venīra novietošanas uz zoba materiāls ir labi plūstošs.
VIEGLA PĀRPALIKUMA NOŅEMŠANA
Cementa pārpalikumu ar zondi var noņemt vienā gabalā pēc tam, kad vienu sekundi veikta ātrā cietināšana.

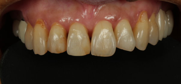
1. Sākotnējais stāvoklis pirms 6 venīru sagatavošanas (no d13 līdz d23).

2. PANAVIA Veneer LC izcilā konsistence un pastas viskozitāte nodrošināja ērtāku cementa dozēšanu, venīru novietošanu un pārpalikušā cementa noņemšanu.

3. Visu restaurāciju virsmu un robežu cietināšana ar gaismu.

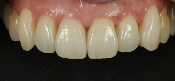
4. Gala rezultāts pēc sešu KATANA™ Zirconia STML venīru cementēšanas.
Detalizētu informāciju skatiet lietošanas instrukcijās.
ZINĀTNE
Izcila pulējamība un spīduma saglabāšanas spēja
Izcilā pulējamība un lieliskā spīduma saglabāšanas spēja veicina restaurāciju robežu estētikas saglabāšanos laika gaitā.
PANAVIA V5 Tooth Primer ir paškodinošs zoba audu (dentīna un emaljas) adhezīvs, kas pilnībā noklāj zoba adhēzijas virsmas, tiklīdz tām tiek uzklāts produkts PANAVIA Veneer LC Paste. Šī skāriencietināšanas tehnoloģija aktivizē polimerizāciju tikai adhēzijas virsmās un veido spēcīgu piesaisti emaljai un dentīnam, bet neietekmē cementa sacietēšanas reakciju. Spēcīgo sasaisti ar restaurācijas materiāliem nodrošina pierādīti efektīvais produkts CLEARFIL™ CERAMIC PRIMER PLUS.
SPĪDUMA SAGLABĀŠANA

Avots: Kuraray Noritake Dental Inc.
SPĪDUMA SAGLABĀŠANA

Pārbaudes apstākļi: paraugs ø10 mm, biezums 2 mm. Pēc virsmas nopulēšanas ar ūdens noturīgu abrazīvu papīru no nr. 1000 līdz nr. 2500, jāveic gala pulēšana ar slīpēšanas plēvi. Sākotnējā vērtība (jānosaka spīduma līmenis pēc pulēšanas*). Zobu birstes radīts nodilums (noteikts pēc 40 000 vēzieniem ar 250 g spēku, 30 vēzieniem minūtē, 10 sv.% zobu pastu*). Mērīts ar spīduma mērītāju VG 2000 (Nippon Denshoku Kogyo) 60° leņķī. Piezīme. Vērtības var atšķirties atkarībā no mērīšanas apstākļiem.
Avots: Kuraray Noritake Dental Inc.
*Nav uzņēmuma KURARAY CO., LTD preču zīme.
CEMENTA UN CILVĒKA ZOBA ADHEZĪVĀS SAITES IZTURĪBA

Testa apstākļi: pulēšana ar nr. 1000, uzklājot praimeri PANAVIA Veneer LC Paste: cietināšana ar gaismu 20 sek., sacementēšanas SUS čips (3 mm). Mērīts pēc uzglabāšanas ūdenī 37 °C temperatūrā 1 dienu; termālais cikls: 4–60 °C.
Avots: Kuraray Noritake Dental Inc.
*Nav uzņēmuma KURARAY CO., LTD preču zīme.
AR PROTEZĒŠANAS MATERIĀLIEM IZVEIDOTĀS ADHEZĪVĀS SAITES IZTURĪBA

Pārbaudes apstākļi: pulēšana ar nr. 1000, apstrāde ar smilšu strūklu (“KATANA™ Zirconia”) vai kodināšana ar fluorūdeņradi (stikla keramika), SUS čips (diam. 5 mm), mērīts pēc uzglabāšanas ūdenī 37 °C temperatūrā 1 dienu, vai termālā cikla 4–60 °C.
Avots: Kuraray Noritake Dental Inc.
*Nav uzņēmuma KURARAY CO., LTD preču zīme.
TOŅI
-
Internationally highly valued
Testimonials
-
-
Dr. Greg Campbell, DDS
USA“Love the versatility of the new PANAVIA Veneer LC cement when it comes to delivering my Veneers and Onlays. I can use the PANAVIA V5 Tooth Primer or my CLEARFIL Universal adhesive and get the proven benefits of the Original-MDP and the “Gold Standard” bonding we have come to expect from Kuraray. Easy to use, easy to clean up and extremely strong bonds. Four shades and try-in pastes give me complete control and ensures clinical success time and time again!
Thank you, Kuraray Noritake for another great product.” -
Dr. Karyn Halpern, DDS
USA“I am so impressed by the bond of this new cement. It’s not only strong but it was super easy to use, place, and clean up!
Needless to say, I am a fan!” -
-
-
Dr. Gianmarco O'Brien, DDS, Inc.
USA"This product is what I have come to expect from a company like Kuraray, the leader in adhesive dentistry. Easy to use clinically (excellent handling), very color stable since there is NO POST-BONDING GRAYING effect from tertiary amines (aromatic amine). I have total confidence in the DURABLE bond strength with their products. This is my new go-to veneer adhesive resin cement system!"
