Introductie
Clearfil Majesty ES Composites
Duurzame, voorspelbare en indrukwekkende esthetische restauraties
Onze composieten laten zich gemakkelijk - zonder ingewikkelde procedures - en voor een breed scala aan indicaties verwerken.
U bereikt consistente en uitmuntende resultaten. Steeds opnieuw.
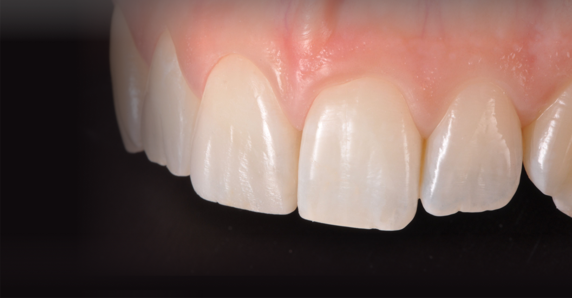
![]()
Bron: Restauratie elementen 11 en 12 met Clearfil Majesty ES-2 door Dr. Gaetano Paolone en Dr. Salvatore Scolavino
CLEARFIL MAJESTY™ ES PRODUCTLIJNEN
-
CLEARFIL MAJESTY ES-2 PREMIUM
Dual-layering met vaste kleurcombinaties
-
CLEARFIL MAJESTY ES-2 CLASSIC
Monochromatisch composiet in VITA-kleuren
-
CLEARFIL MAJESTY ES FLOW
Een ongekende natuurlijke glans
Een breed indicatiegebied
CLEARFIL MAJESTY ES-2 & CLEARFIL MAJESTY ES FLOW
PRODUCTEIGENSCHAPPEN
-
-
CLEARFIL MAJESTY ES-2 PREMIUMCLEARFIL MAJESTY ES-2 CLASSICCLEARFIL MAJESTY ES FLOW
-
Kies met vertrouwen
De keuze van de juiste kleur was nog nooit zo precies. Dankzij Clearfil Majesty ES-2, het allereerste kleurensysteem voor composieten op basis van helderheid.

-
Als vanzelf een natuurlijke uitstraling
Helderheid, layering en lichtdiffusietechnologie zijn de belangrijkste elementen die zorgen voor een natuurlijk uitstraling. De combinatie van meerdere eigenschappen zorgt voor een ongekend natuurgetrouw esthetisch resultaat.
-
-
-
Van licht naar donker
FOCUS OP HELDERHEID
Helderheid is de basis van ons intuïtieve kleurensysteem. Waarom? 90% van een kleur die de mens waarneemt wordt bepaald door helderheid. De andere dimensies zijn tint (hue) en kleurverzadeing (chroma). Het spreekt dus vanzelf dat de juiste helderheid altijd het eerste uitgangspunt is! Hoe ziet het kleurenspectrum van natuurlijke tanden er wereldwijd uit?
De resultaten van een VITA™-onderzoek naar het kleurenrange laten zien dat tandkleuren meer afwijken qua helderheid dan in tint of kleurverzadiging. Het natuurlijke verschil in helderheid is de reden van de ellipsvormige verdeling (zie afbeelding).
-
Lichtdiffusie technologie
De verbinding tussen composiet en de natuur
De lichtdiffusietechnologie past de tint (hue) en kleurverzadiging (chroma) automatisch aan. Als u de juiste kleurnuance, en dus de juiste opaciteit heeft gekozen, zorgt de lichtdiffusietechnologie voor de finishing touch. Deze zorgt namelijk voor aanpassing van de tint en kleurverzadiging op het aangrenzende tandweefsel.
-
-
De natuurlijke element absorbeert licht en verstrooit het in alle richtingen. De lichtdiffusievulstof verspreidt licht net zoals de natuurlijke tandsubstantie.
-
Bron: Dr. Toshimoto Yamada, DDS, PhD, Toranomon Kliniek, Japan.
-
-
Harmonie
Vooraf bepaalde translucentie van glazuur en opaciteit van dentine
Merkwaardig genoeg is opaciteit een onderschatte factor voor een geslaagde intergratie van elementen en composieten. Als de opaciteit niet klopt, is een harmonieuze restauratie niet haalbaar. De nieuwe CLEARFIL MAJESTY™ ES-2 is ontwikkeld met een vooraf bepaalde translucentie van glazuur en opaciteit van dentine.
Bron: Restaurantie elementen 11 and 12 met Clearfil Majesty ES-2 door Dr. Gaetano Paolone en Dr. Salvatore Scolavino
Ingebouwde technologieën
-
Fluorescentie
Fluorescentie, in overeenstemming met de natuur.
-
Opalescentie
De opalescentie in deze composieten stemt overeen met de natuurlijke opalescentie.
-
Opaciteit
Clearfil Majesty ES-2 biedt drie maten van opaciteit. Premium Dentin heeft de hoogste opaciteit, gevolgd door Classic. Premium Enamel heeft uiteraard de laagste opaciteit, ofwel de hoogste translucentie.
Eigenschappen
-
Consistente kleur
De kleuren van CLEARFIL MAJESTY ES-composieten zijn vóór polymerisatie gelijk aan die van het gepolymeriseerde materiaal. U komt dus niet voor verrassingen te staan.
-
Universeel gebruik
CLEARFIL MAJESTY ES-composieten - zelfs ES Flow - zijn geschikt voor zowel anterieur als posterieur gebruik. Vulstofvolume: ES-2 PREMIUM en CLASSIC: 66% vol. (78% gew.) ES Flow: 59% vol. (75% gew.).
-
Handling/verwerkbaarheid
Dankzij de geoptimaliseerde consistentie is het bijzonder prettig werken met CLEARFIL MAJESTY ES-composieten.
Productlijn
CLEARFIL MAJESTY ES-2 PREMIUM
Dual-layering met vaste kleurcombinaties
CLEARFIL MAJESTY ES-2 CLASSIC
Monochromatische composiet in VITA-kleuren
CLEARFIL MAJESTY ES FLOW
Een ongekende natuurlijke glans
CLEARFIL MAJESTY™ Posterior
CLEARFIL MAJESTY™ Posterior is een lichtuithardend, nano-supergevuld, radiopaak composiet. Het bestaat uit nano- en micro-anorganische vulstoffen, die zijn behandeld met een gepatenteerde oppervlaktecoatingstechnologie. Deze technologie maakt het mogelijk om een grote hoeveelheid nanogevulde partikels in de composietmatrix op te nemen. Voor betrouwbare en duurzame posterieure restauraties.